Features of obtaining the protein complex of vegetative cultures Bacillus anthracis for proteomic mapping of strains
- Authors: Koteneva E.A.1, Tsygankova O.I.1, Kalinin A.V.1, Rodionov I.S.1, Abramovich A.V.1, Shcherbakova V.Y.1
-
Affiliations:
- Stavropol Research Antiplague Institute
- Issue: Vol 97, No 4 (2020)
- Pages: 331-338
- Section: ORIGINAL RESEARCHES
- URL: https://microbiol.crie.ru/jour/article/view/870
- DOI: https://doi.org/10.36233/0372-9311-2020-97-4-5
- ID: 870
Cite item
Full Text
Abstract
Introduction. The study of the protein composition of the causative agent of anthrax — Bacillus anthracis, allows you to identify both general species and individual characteristics of strains that differ in phenotypic properties, manifested mainly in the vegetative form and which are important for virulence, immunogenicity and the ability to adapt to different vegetation conditions.
Purpose of the work. In the group of anthrax microbe strains having different plasmid composition and virulence, different methods of extraction of the total proteome from vegetative bacillus cells have been tested.
Results. In the course of the work, it was shown that the rate of spore formation varies significantly between individual strains of the anthrax microbe and can have a significant impact on the efficiency of extraction and the composition of the protein complex. Preliminary treatment with lysozyme, which affects the cell membrane, promotes a more complete lysis of cells, and ultramicrocentrifuge filtration provides complete specific sterility of the obtained samples.
Conclusion. A culture preparation scheme was developed for B. anthracis, which allows one to obtain a culture in the vegetative phase of the life cycle and to efficiently extract proteins in combination with reliable disinfection of samples.
Full Text
Введение
Изучение протеома патогенных микроорганизмов является актуальной задачей, т.к. позволяет не только выявить основные и вспомогательные факторы вирулентности, но и объективно оценить их продукцию в конкретных условиях культивирования в лабораторных условиях или при естественной циркуляции в организме животных и человека и во внешней среде. Исследование белкового состава возбудителя сибирской язвы Bacillus anthracis позволяет определить как общие видовые характеристики, так и индивидуальные особенности штаммов, различающихся по фенотипическим свойствам, проявляющимся в основном в вегетативной форме и имеющим важное значение для вирулентности, иммуногенности и способности адаптироваться к разным условиям вегетирования.
Для объективной оценки особенностей протеомов штаммов B. anthracis необходимо, чтобы источником выделения белкового комплекса являлась чистая культура с однородной по основным фенотипическим признакам популяцией. Не менее важным условием качественной пробоподготовки является нахождение культуры в одной морфофункциональной фазе, т.к. при работе с возбудителем сибирской язвы формирование спор влечет изменение белкового состава культур, что может приводить к некорректным результатам сравнительного анализа белковых комплексов штаммов, различающихся по скорости спорообразования. Так, около половины проб вегетативных культур представителей группы Bacillus cereus при исследовании масс-спектрометрическим методом имеют пики, характерные для спектров споровых форм [1][2]. Непосредственно метод лизиса культуры должен быть эффективным по отношению к культурам, имеющим особенности состава и строения поверхностных клеточных структур, для наиболее полного извлечения белков и предусматривать их защиту от деградации, в том числе под действием собственных протеаз.
Полученный на конечном этапе материал должен включать весь спектр белков, присущих микроорганизму в конкретных условиях, в концентрации, достаточной для проведения протеомных исследований, и не содержать жизнеспособных клеток микроорганизмов.
Цель работы — разработка алгоритма получения и эффективной экстракции белкового комплекса вегетативных культур B. anthracis, отвечающего требованиям режима работы с возбудителями особо опасных инфекций.
Материалы и методы
В работе использовали вакцинные штаммы B. anthracis СТИ, 228/8, Steme 34F2, 55, СТИ-ПР, 71/12, Ихтиман, вирулентные штаммы 140 П, 228, 1265, 1(СО) и 81/1, а также их культуральные варианты ΔСТИ, СТИ-II, ΔSteme 34F2, 228/8-II, 228/4, 1(СО)-5-1, 1(СО)-16, 1(СО)-23, 1(СО)-24, которые различались по генетическим характеристикам (все варианты плазмидного состава, различные MLVA- и SNP-генотипы) и по фенотипическим признакам: культурально-морфологическим свойствам, токсинопродукции, ферментативной активности, условиям формирования капсулы, вирулентности, чувствительности к специфическим сибиреязвенным бактериофагам.
В качестве питательных сред использовали LB-бульон и LB-агар (по Ленноксу), а при необходимости добавляли кровь (5%), сыворотку крови (10%), глицерин (4%).
Спорообразование контролировали визуально в мазках, окрашенных по Ребигеру, приготовленных из культур на различных этапах культивирования. Подсчитывали долю бациллярных клеток, содержащих формирующиеся споры, и отмечали наличие внеклеточно расположенных спор.
Процесс пробоподготовки включал предварительную обработку клеток лизоцимом, разрушающим клеточную стенку, в конечной концентрации 40 мг/мл с инкубацией 1 ч при 37°С. Далее образцы дважды отмывали в 40 hM растворе основного Трис-буфера от лизоцима и клеточного дебриса. Экстракцию тотального протеома проводили параллельно для каждого образца в 2 лизирующих буферах: 8 М мочевина/2 М тиомочевина и 6 М гуанидина тиоцианат. Для предотвращения деградации экстрагируемых белков в лизирующий буфер вносили ингибиторы бактериальных протеаз в концентрации 1 мкг/мл. Обеззараживание проб проводили методом ультрамикроцентрифужной фильтрации лизата через фильтр PVDF с размером пор 0,22 мкм. Специфическую стерильность полученного материала подтверждали отрицательными результатами высева на LB-агар.
Характер воздействия лизирующих буферов оценивали визуально по состоянию культуры в окрашенных мазках на различных этапах подготовки материала. Сравнительную оценку полноты экстракции белкового комплекса из бациллярных клеток осуществляли по количеству и интенсивности белковых полос, полученных при одномерном электрофоретическом разделении образцов на автоматической системе капиллярного электрофореза «Experion» («Bio-Rad») с использованием набора «Experion Pro260 Analysis Kit» («Bio-Rad») после предварительной очистки образцов набором «Ready Prep 2-D Cleanup Kit» («Bio-Rad»).
Двумерный электрофорез проводили с использованием комплекта оборудования для протеомных исследований («Bio-Rad») и специализированного программного обеспечения «Quantity One 1-D analysis software» и «PDQuest 2-D analysis software». Концентрацию образцов перед проведением 1-го направления измеряли на флюориметре «Qubit» и параллельно методом Бредфорда. Изоэлектрофокусировку проводили с использованием стрипов «ReadyStrip IPG strips» pH 3-10, 7 см, загружая образцы из расчета 10-15 мкг белка на 300 мкл регидратационного буфера. Уравновешивание стрипов осуществляли в буфере с 6 М мочевиной в два этапа: с 2% дитиотреитолом и 2,5% йодацетамидом по 15 мин. Второе направление проводили в камере «Mini Protean» с охлаждением 10°C в 12% ПААГ в течение ~1,5 ч. Готовые гели окрашивали серебром с использованием набора «Silver Stain Plus».
За основу взяли методику, описанную в работах [3][4][5][6], с авторскими модификациями, включающими предварительную обработку культуры лизо- цимом, а также различные варианты состава лизи- рующих буферов. Посев вегетативной культуры для дальнейшего исследования протеомными методами проводили в несколько этапов, чтобы минимизировать образование спор: первоначальный посев на LB-агар (20 ч) для отбора изолированных колоний и пересева в LB-бульон (18 ч) с последующим пересевом на LB-агар (18 ч). Схема опыта представлена на рис. 1.
Рис. 1. Схема опыта по подбору оптимальных условий экстракции тотального протеома штаммов B. anthracis.
Fig. 1. An experimental design for selecting optimal extraction conditions for a total proteome of B. anthracis strains.
Результаты
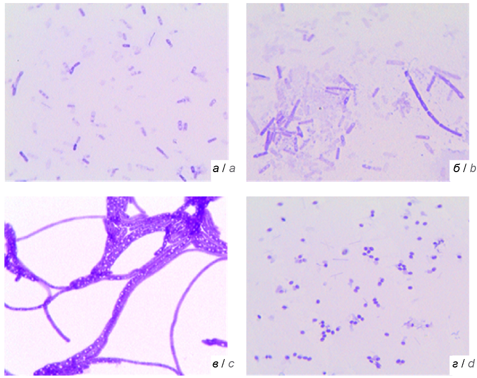
На мазках, приготовленных из культуры на последнем этапе, выявили значительные различия скорости спорообразования изученных культур. Так, у штаммов B. anthracis 55, СТИ, СТИ-II, СТИ-ПР, 228/8-II, 228/4, ΔSteme, 140-П, 1265, 81/1, 228/8, Ихтиман, 71/12, 1(СО), 1(СО)-5-1 наблюдали 2-30% бактериальных клеток, содержащих споры на различных этапах формирования (рис. 2, а). В то же время у штаммов Steme 34F2 и ΔСТИ достаточно сформированные споры наблюдались в 82-88% бактериальных клеток, а у штамма ΔСТИ они располагались свободно вне бацилл (рис. 2, б, в).
Рис. 2. Различия в спорообразовании на LB-агаре 20-часовых культур штаммов B. anthracis ΔSterne (а), Sterne 34F2 (б) и ΔСТИ (в), а также 6-часовой культуры штамма Sterne (г). Окраска методом Ребигера, ув. 500.
Fig. 2. Differences in spore formation on LB agar of 20-hour cultures of B. anthracis ΔSterne strains (a), Sterne 34F2 (b) and ΔSTI (c), as well as a 6-hour culture of Sterne strain (d). Coloring with the Rebiger method, *500.
На следующем этапе работы попытались добиться отсутствия спор в культурах путем добавления в LB-агар добавок, тормозящих процесс спорообразования — глицерина, дефибринированной крови и инактивированной сыворотки крови, а также путем изменения сроков инкубирования культур. Для этого были выбраны штаммы B. anthracis 55, Steme 34F2, ΔСТИ с различной скоростью спорообразования. Использовали жидкую и плотные питательные среды на основе LB-бульона: LB-бульон, LB-агар, LB-агар с добавлением 5% дефибринированной крови, LB-агар с добавлением 4% глицерина. Споры засевали в LB-бульон и оставляли на 6 ч при 37°С, после чего культуру пересевали в новую порцию LB-бульона и помещали на 18 ч при 37°С. На следующий день 18-часовую бульонную культуру высевали пипеткой на плотные питательные среды и распределяли по всей поверхности шпателем, инкубировали 6 ч при 37°С. После этого из культуры готовили взвесь и оставляли при -20°С на ночь. На всех этапах пересевов и приготовления взвеси готовили мазки для контроля спорообразования. При таких сроках выращивания в окрашенных мазках ни у одного из штаммов на всех средах споры не обнаруживались (рис. 2, г). Учитывая, что культура предназначается для исследования особенностей протеомного комплекса различных штаммов, а также возможность экстракции белков крови или сыворотки при смывании культуры с поверхности среды, которые в дальнейшем могут искажать картину белкового спектра культур, получаемую методом 2D-электрофореза, вероятно, предпочтительнее использовать на последнем этапе пересевов культур LB-агар без добавок.
При использовании метода 2D-электрофореза важным фактором эффективной подготовки материала является полнота извлечения белкового комплекса из бациллярных клеток. Для разрушения бактериальных клеток и экстракции внутриклеточного белкового комплекса использовали лизирующие буферы, содержащие хаотропные вещества (гуанидина тиоцианат, мочевина, тиомочевина), разрушающие мембранные структуры, поверхностно активные вещества, способствующие максимальному извлечению белков, восстановитель, способный восстанавливать структуру белковых молекул, нарушенную денатурирующим действием хаотропных веществ, и коктейль ингибиторов протеаз, предотвращающий деградацию белков под действием внутриклеточных протеаз. Далее в работе использовали взвеси 20-часовых культур авирулентных штаммов B. anthracis СТИ, 228/8, Steme 34F2, 55, СТИ-ПР, 71/12, Ихтиман, вирулентных — 140 П, 228, 1265, 1(СО) и 81/1, а также их культуральных вариантов ΔΟΜ, СТИ-II, ΔSteme 34F2, 228/8-II, 228/4, 1(СО)-5-1, 1(СО)-16, 1(СО)-23 и 1(СО)-24.
Культуры всех штаммов после обработки лизо- цимом образовывали конгломераты слабоокрашенных бациллярных клеток в виде комочков, за исключением штаммов B. anthracis 1(СО)-23 и 1(СО)-24, которые сохраняли длинные цепочки. Результаты микроскопии мазков на различных этапах выявили некоторые особенности у отдельных штаммов. Исходная 20-часовая культура штамма B. anthracis ΔСТИ содержала уже вполне сформировавшиеся споры, в том числе расположенные внеклеточно, и практически полностью лизировалась при всех вариантах обработки лизирующими буферами в сочетании с лизоцимом, в результате чего в мазках наблюдались свободно лежащие споры и детрит бактериальных клеток (рис. 3, г).
Рис. 3. Микрофотографии осадка бактериальных клеток штаммов B. anthracis после последовательной обработки лизоцимом и лизирующим буфером с 6 М гуанидина тиоцианатом: а — 1(СО); б — 1(СО)-5-1; в — 1(СО)-24; г — ΔСТИ. Окраска методом Ребигера, ув. 500.
Fig. 3. Microphotographs of the sediment of bacterial cells of B. anthracis strains after sequential treatment with lysozyme and lysis buffer with 6 M guanidine thiocyanate: a — 1(CO); b — 1(СО)-5-1; c — 1(СО)-24; d — ΔSTI. Coloring with the Rebiger method, *500.
После воздействия лизирующего раствора, содержащего 6 М гуанидина тиоцианата, на нативные (не обработанные лизоцимом) взвеси бацилл в мазках наблюдали характерные для штаммов B. anthracis цепочки клеток, окраска которых была менее интенсивной и неравномерной по сравнению с исходной культурой. Наименьшие изменения претерпевали штаммы B. anthracis 1(СО)-23 и 1(СО)-24.
При обработке бактериальных взвесей лизирующим раствором с 8 М мочевиной/2 М тиомо- чевиной видимые изменения культур были минимальными — окраска клеток становилась несколько слабее, а у штаммов 1(СО)-23 и 1(СО)-24 она практически не менялась. Бациллы штамма 1(СО)-5-1 располагались в окружении вещества, аналогичного по окраске капсульному.
Воздействие лизирующих растворов на бациллы, предварительно обработанные лизоцимом, приводило у большинства изученных штаммов к образованию бактериального детрита и слабоокра- шенных «теней» бактериальных клеток (рис. 3, а, б), штаммы 55, 71/12 сохраняли цепочки, в которых клетки прокрашивались значительно слабее нативной культуры, культура штамма 1(СО)-24 визуально практически не менялась (рис. 3, в).
При оценке результатов экстракции белкового комплекса вегетативных культур B. anthracis наиболее эффективным методом оказывался лизис буфером, содержащим 6 М гуанидина тиоцианат, после предварительной обработки лизоцимом.
Наибольшее количество белковых фракций выявляли в материале классического по фенотипическим свойствам и плазмидному составу вирулентного штамма B. anthracis 1(СО). На электрофо- реграмме у него наблюдалось наибольшее количество полос, особенно в области 25-75 кД. Штамм B. anthracis 1(СО)-5-1, имеющий полный набор плазмид и обладающий способностью формировать капсулу на обычных питательных средах, в том числе LB-агаре, в атмосфере воздуха, несмотря на наличие выраженного слоя капсульного вещества, демонстрировал большое количество белковых полос, которые были несколько менее интенсивно выражены, в отличие от исходного штамма B. anthracis 1(СО). У остальных штаммов в области 50-75 кД наблюдалось меньшее количество полос, особенно у изогенных вариантов штамма B. anthracis 1(СО): 1(СО)-16 (нарушение прорастания спор при повышенном содержании СО2), 1(СО)-23 (бесплазмидный) и 1(СО)-24 (отсутствие плазмиды pXO1). Следует отметить, что указанные культуральные варианты штамма 1(СО) были выделены по признаку фагорезистентности к специфическим сибиреязвенным бактериофагам. Меньшее количество белковых фракций штамма 1(СО) наблюдалось при обработке этим же лизирующим буфером нативной культуры: отмечалось некоторое (незначительное) снижение на электрофореграмме количества и интенсивности линий, соответствующих белкам с молекулярной массой 50-75 кД.
Экстракция белкового комплекса бацилл при воздействии лизирующего буфера, содержащего 8 М мочевину/2 М тиомочевину, была менее эффективной именно в области белков с молекулярной массой более 50 кД; лизирующий эффект, как и в предыдущем случае, был более выражен при предварительной обработке культуры лизоцимом.
Описанные различия в эффективности экстракции бациллярных белков двумя лизирующими буферами с различными составами с предварительной обработкой культуры лизоцимом и в ее отсутствие продемонстрированы на примере типичного вирулентного штамма B. anthracis 1(СО) (рис. 4).
Рис. 4. Разделение белков штамма B. anthracis 1(СО), выделенных лизисом культуры: 2 — раствором с гуанидина тиоцианатом после обработки лизоцимом; 3 — тем же раствором без обработки лизоцимом; 4 — раствором с мочевиной/тиомочевиной после обработки лизоцимом; 5 — тем же раствором без обработки лизоцимом. 1 — маркер молекулярных масс белков.
Fig. 4. The separation of proteins of the strain B. anthracis 1(CO), isolated by culture lysis: 2 — a solution with guanidine thiocyanate after treatment with lysozyme; 3 — the same solution without treatment with lysozyme; 4 — a solution with urea/thiourea after treatment with lysozyme; 5 — the same solution without treatment with lysozyme. 1 — marker of molecular masses of proteins.
Поскольку разрешающая способность капиллярного электрофореза недостаточно высока, этот метод может служить только для предварительной оценки образцов, полученных с применением различных схем подготовки культуры и получения лизатов. На конечном этапе оценку эффективности экстракции белков вакцинного штамма СТИ с невысокой скоростью спорообразования (13% при выращивании на LB-агаре в течение 20 ч) проводили методом 2D-электрофореза. На 2D-электро- фореграмме (рис. 5) зарегистрирован широкий набор белков, различающихся по значениям изоэ- лектрических точек (1-е направление) и величине молекулярных масс (2-е направление). Полученное разделение белков позволяет проводить их выделение и идентификацию методом MALDI-TOF/TOF масс-спектрометрии после их экстракции из геля, очистки и трипсинолиза.
Рис. 5. Картина разделения белков штамма B. anthracis СТИ методом 2D-электрофореза. Экстракция белкового комплекса проводилась из взвеси 20-часовой культуры B. anthracis СТИ, предварительно обработанной лизоцимом, в лизирующем буфере с 6 М гуанидина тиоцианатом.
Fig. 5. Protein separation pattern of B. anthracis STI strain by 2D electrophoresis. The protein complex was extracted from a suspension of a 20-hour culture of B. anthracis STI, pretreated with lysozyme in lysis buffer with 6 M guanidine thiocyanate.
Обсуждение
Скорость спорообразования у штаммов B. anthracis значительно различается, что является значимым фактором при соблюдении стандартных условий получения вегетативной культуры для протеомного картирования штаммов возбудителя сибирской язвы методом 2D-электрофореза в сочетании с методом MALDI-TOF/TOF масс-спектрометрии.
Анализ результатов различных методов экстракции тотального белкового комплекса выявил влияние индивидуальных свойств штаммов B. anthracis на эффективность различных способов пробоподготовки. Так, культура штамма ΔСТИ практически полностью лизировалась под действием лизоцима, в то время как культурам штаммов B. anthracis 1(СО) и 1(СО)-5-1 для деструкции бактериальных клеток требовалось сочетанное действие лизоцима и лизирующих растворов, содержащих хаотропные вещества. Большую чувствительность штамма B. anthracis ΔСТИ, вероятно, можно объяснить особой физиологической фазой культуры — естественным лизисом бацилл, завершающим процесс спорообразования. Практически не измененный по сравнению с контролем (свежеприготовленная бактериальная взвесь) вид культур после обработки лизи- рующими растворами подтверждает данные о том, что хаотропные вещества вызывают деградативные процессы, затрагивающие почти все клеточные структуры. Однако клеточная стенка в основном сохраняет свою целостность, ультраструктуру и ригидность, что обусловливает поддержание исходной морфологии клетки. В этих случаях, несмотря на визуальную целостность клеток, на электрофореграммах наблюдались интенсивные полосы, соответствующие белкам с различной молекулярной массой, хотя и в несколько меньшем количестве, чем при сочетанном воздействии лизоцима и гуанидина тиоцианата.
Предварительная обработка культуры лизоцимом с последующей ее обработкой раствором, содержащим мочевину/тиомочевину, напротив, уменьшала количество белковых фракций на элек- трофореграмме, чему мы не смогли найти объяснение. Меньшая эффективность экстракции внутриклеточных белков у штамма 1(СО)-24 испытанными методами, возможно, объясняется особенностями поверхностных структур клеток, т.к. данный штамм (вариант) был выделен из популяции исходного штамма 1(СО) по признаку резистентности к сибиреязвенному бактериофагу ВА-9 и у него отсутствует плазмида pXO1.
Меньшее количество полос на электрофореграмме вряд ли можно объяснить отсутствием продукции части белков, синтез которых детерминируется указанной плазмидой, т.к. бесплазмидный штамм ΔСТИ был представлен на электрофореграмме в этих же условиях значительно б0льшим количеством белковых фракций.
Заключение
Протеомное картирование штаммов B. anthra- cis является, безусловно, аналитическим методом их изучения для выявления индивидуальных особенностей и их корреляции с патогенными свойствами или важными для жизнеобеспечения физиологическими механизмами и сравнительного анализа синтеза определенных белков в конкретных условиях. Исходя из этого, ввиду трудоемкости и затратности указанных исследований получение материала для дальнейшего анализа методом 2D- электрофореза должно проводиться с учетом индивидуальных особенностей штаммов, в том числе скорости спорообразования и чувствительности к действию определенных лизирующих смесей, с подбором оптимальных питательных сред и сроков предварительного культивирования культуры, а также оптимальной схемы экстракции белков. Самым эффективным способом лизиса вегетативной культуры с целью получения наиболее полного комплекса белков является применение лизирующего буфера, содержащего 6 М гуанидина тиоцианата, с предварительной обработкой лизоцимом.
About the authors
Elena A. Koteneva
Stavropol Research Antiplague Institute
Author for correspondence.
Email: postgenom_stv@mail.ru
ORCID iD: 0000-0003-4525-1594
PhD. (Biol.), Head, Laboratory of postgenomic investigations Russian Federation
Olga I. Tsygankova
Stavropol Research Antiplague Institute
ORCID iD: 0000-0002-7940-9460
D. Sci. (Med.), bacteriologist, Brucellosis laboratory Russian Federation
Aleksander V. Kalinin
Stavropol Research Antiplague Institute
ORCID iD: 0000-0002-2678-2624
biologist, Laboratory of postgenomic investigations Russian Federation
Ivan S. Rodionov
Stavropol Research Antiplague Institute
ORCID iD: 0000-0002-0049-7411
junior researcher, Laboratory of postgenomic investigations Russian Federation
Alena V. Abramovich
Stavropol Research Antiplague Institute
ORCID iD: 0000-0001-8852-4332
junior researcher, Laboratory of postgenomic investigations Russian Federation
Victoriya Yu. Shcherbakova
Stavropol Research Antiplague Institute
ORCID iD: 0000-0002-2982-4877
assistant, Laboratory of postgenomic investigations Russian Federation
References
- Castanha E.R., Fox A., Fox K.F. Rapid discrimination of Bacillus anthracis from other members of the B. cereus group by mass and sequence of «intact» small acid soluble proteins (SASPs) using mass spectrometry. J. Microbiol. Methods. 2006; 67(2): 230-40. DOI: http://doi.org/10.1016/j.mimet.2006.03.024
- Lasch P., Beyer W., Nattermann H., Stämmler M., Siegbrecht E., Grunow R., et al. Identification of Bacillus anthracis by using matrix-assisted laser desorption ionization — time of flight mass spectrometry and artificial neural networks. Appl. Environ. Microbiol. 2009; 75(22): 7229-42. DOI: http://doi.org/10.1128/AEM.00857-09
- Mottaz-Brewer H., Norbeck A., Adkins J., Manes N., Ansong C., Shi L., et al. Optimization of proteomic sample preparation procedures for comprehensive protein characterization of pathogenic systems. J. Biomol. Tech. 2008; 19(5): 285-95.
- Chitlaru T., Shafferman A. Proteomic studies of Bacillus anthracis. Future Microbiol. 2009; 4(8): 983-98. DOI: http://doi.org/10.2217/fmb.09.73
- Gao Z., Wang Z., Zhang K., Li Y., Zhang T., Wang D., et al. Experimental validation of Bacillus anthracis A16R proteogenomics. Sci. Rep. 2015; 5: 14608. DOI: http://doi.org/10.1038/srep14608
- Rajoria S., Sabna S., Babele P., Kumar R.B., Kamboj D.V., Kumar S., et al. Elucidation of protein biomarkers for verification of selected biological warfare agents using tandem mass spectrometry. Sci. Rep. 2020; 10(1): 2205. DOI: http://doi.org/10.1038/s41598-020-59156-3
Supplementary files







