DEVELOPMENT OF HEPATITIS E 3 GENOTYPE RECOMBINANT PROTEIN CAPSID OF: CLONING, EXPRESSION, PURIFICATION, EVALUATION OF THE ANTIGENIC PROPERTIES
- Authors: Alatortseva G.I.1, Sidorov A.V.1, Nesterenko L.N.1, Luhverchik L.N.1, Dotsenko V.V.1, Amiantova I.I.1, Zhukina M.V.1, Kabargina V.Y.1, Milovanova A.V.1, Vorobev D.S.1, Ammur Y.I.1, Mikhailov M.I.2, Kyuregyan K.K.2, Malinnikova E.Y.2, Zhavoronok S.V.3, Blinov V.M.1, Zverev V.V.4
-
Affiliations:
- Mechnikov Research Institute of Vaccines and Sera
- Mechnikov Research Institute of Vaccines and Sera, Russian Medical Academy of Postgraduate Education
- Belarusian State Medical University
- Mechnikov Research Institute of Vaccines and Sera, Sechenov First Moscow State Medical University
- Issue: Vol 96, No 1 (2019)
- Pages: 10-17
- Section: Articles
- URL: https://microbiol.crie.ru/jour/article/view/349
- DOI: https://doi.org/10.36233/0372-9311-2019-1-10-17
- ID: 349
Cite item
Full Text
Abstract
Aim. The development of the hepatitis E virus (HEV) genotype 3 recombinant capsid protein. Materials and methods. E.coli strains, plasmid vectors, serological and clinical samples, ELISA reagent kits, molecular biological, bioinformatic, biotechnological, biochemical and serological methods. Results. Using viruscontaining material from pigs of Belgorod region (Russian Federation) we made E.coli strains producing recombinant capsid protein, containing C-terminal of viral ORF2 protein fragment fused to E.coli β-galactosidase. Recombinant protein ORF2 had been isolated from the bacterial inclusion bodies and purified by size exclusion chromatography. Antigenic specificity of the recombinant polypeptide was confirmed by ELISA and Western blotting with sera of hepatitis E patients and reference groups (healthy donors, patients with hepatitis A, B, C, infectious mononucleosis, cytomegalovirus infection and HIV-infected patients). Conclusion. HEV genotype 3 ORF2 recombinant antigen had been developed, and the possibility to use it in diagnostic tests had been experimentally shown.
Full Text
ВВЕДЕНИЕ Гепатит Е (ГЕ) — острое вирусное инфекционное заболевание с фекально- оральным механизмом передачи возбудителя, реализуемым преимущественно вод- ным путем, характеризуется острым течением и частым развитием тяжелых исходов (нередко летальных) у беременных. Источником инфекции являются больные с лю- бой формой заболевания: как манифестной, так и субклинической безжелтушной. При бессимптомном течении ГЕ у домашних животных (свиней, крупного рогатого скота и др.) и птиц серологические и молекулярно-генетические маркеры ГЕ выяв- ляются с частотой от 0,5 % до 70 %. В РФ с 2013 г. регистрация случаев острого ГЕ включена в реестр официаль- ной инфекционной заболеваемости страны. Однако в России, а также в странах Центрально-Азиатского региона бывшего СССР, где существуют стойкие очаги ГЕ, система серодиагностики ГЕ в широкую медицинскую практику не внедрена, что, вероятно, связано с отсутствием необходимых диагностических тест-систем, с од- ной стороны, и отсутствием эпидемиологической настороженности — с другой. Лабораторное подтверждение ГЕ основывается на обнаружении РНК ВГЕ в фекалиях и/или сыворотке крови заболевших, а также выявлении IgM и/или нарас- тание титров IgG к ВГЕ в парных сыворотках крови в сочетании с клиническими и биохимическими проявлениями острого гепатита. Тест-системы для выявления IgG и IgM к ВГЕ основаны на использовании рекомбинантных аналогов антигенов ВГЕ в методах непрямого и «ловушечного» ИФА. Наборы для определения IgG и IgM к ВГЕ широко различаются по показа- телям чувствительности (от 17 % до 100 %) и сходимости полученных с их приме- нением результатов (от 49 % до 94 %) [7, 11], что можно объяснить различиями в составе и структуре применяемых в них антигенов. Антигенные композиции всех имеющихся к настоящему времени тест-систем включают различные С-концевые фрагменты белка вирусного капсида (белка ORF2) ВГЕ, являющегося основным структурным компонентом вириона и мажорным антигеном вируса. Белок ORF2, кодируемый геном orf2, содержит главные антигенные детерминанты вируса, отве- чающие за индукцию протективного гуморального иммунного ответа организма-хо- зяина [9]. Полноразмерный капсидный белок ORF2 ВГЕ не используется в сероло- гических тестах из-за высокой гидрофобности его отдельных участков и связанной с этим слабой растворимостью белка. В С-концевой области белка ORF2, по данным разных исследователей, в положении с 454 по 606 a.о. [10] или с 432 по 660 а.о. [12] локализованы основные иммунодоминантные домены, взаимодействующие со спе- цифическими IgG и IgM у больных ГЕ и реконвалесцентов. Фрагменты гена orf2 были клонированы в различных векторных системах экс- прессии, включая прокариоты, клетки насекомых и животных, трансгенные рас- тения. Наряду с необходимостью получения рекомбинантных антигенов с наилуч- шими показателями диагностической эффективности важным является решение технологической задачи масштабирования производства целевого белка. Наиболее экономичным является использование прокариотических векторных систем экс- прессии рекомбинантных антигенов в клетках Escherichia coli, к достоинствам ко- торых относится дешевизна культивирования, простота выделения большого ко- личества целевого продукта, непродолжительный производственный цикл. Однако существуют препятствия для достижения высоких показателей экспрессии белков в бактериальных клетках, связанные, например, с высоким содержанием GC-пар в клонируемом фрагменте ДНК. Одним из подходов к повышению продуктивности рекомбинантных штаммов E.сoli является оптимизация кодирующей последова- тельности клонируемых фрагментов генома ВГЕ [13]. Заболевание у людей ассоциировано с четырьмя генотипами ВГЕ. На террито- рии стран постсоветского пространства доминируют штаммы ВГЕ 1 и 3 генотипов: в Центральной Азии преобладает ВГЕ 1 генотипа, вызывающий заболевание исклю- чительно у людей, ВГЕ 3 генотипа распространен повсеместно и является возбуди- телем антропозооноза. Примечательно, что с 3 генотипом ВГЕ связана спорадичес- кая заболеваемость в низкоэндемичных регионах. Белки ВГЕ разных генотипов антигенно различаются [6], что объясняет приме- нение во многих диагностических тестах рекомбинантных антигенов, содержащих отдельные фрагменты белков ВГЕ разных генотипов или их комбинации [14]. Ранее мы сообщали о получении рекомбинантного антигена ORF2 ВГЕ 1 генотипа [2]. В настоящем исследовании была поставлена задача разработки рекомбинантного по- липептида, содержащего антигенно значимый С-концевой фрагмент белка ORF2 ВГЕ 3 генотипа с использованием полученного в России вирусного изолята. МАТ Е Р И А Л Ы И М Е Т О Д Ы Для анализа и обработки нуклеотидных и аминокислотных последователь- ностей, дизайна праймеров использовали пакет программ VectorNTI ver.11.0. Полипептидные последовательности анализировали дополнительно, используя программу BLAST-Protein. Анализ коротких пептидных гомологий между белком ORF2 ВГЕ 3 генотипа и белками герпес-вирусов человека 1-8 типов проводили, ис- пользуя ранее описанные алгоритмы [3]. Синтез фрагмента гена orf2 ВГЕ 3 гено- типа был выполнен компанией Евроген (Россия). Клонирование фрагментов ДНК в экспрессирующей векторной системе pEL5a [1] осуществляли по общепринятым методикам [5]. Определение нуклеотидной последовательности ДНК проводили методом Сэнгера в модификации капиллярного электрофореза в ЦКП ВНИИСБ «Биотехнология» на геномном анализаторе «ABI-3130-XL» («Applied Biosystems», США). Получение биомасс культур клеток E.coli PLT90, трансформированных век- торной или рекомбинантными плазмидами, выделение и очистку рекомбинантных полипептидов проводили с помощью ранее опубликованных методик [4]. В работе использовали сыворотки крови больных ГЕ, предоставленные Белорусским государственным медицинским университетом (г. Минск). В качестве источника вирусной РНК использовали образцы фекалий свиней из свиноводчес- ких хозяйств Белгородской обл. Сыворотки крови условно здоровых лиц и конт- рольной группы, содержащие серологические маркеры инфицирования вирусами гепатитов А, В, С и инфекционных патологий печени иной этиологии (инфекци- онный мононуклеоз, цитомегаловирусная инфекция, ВИЧ-инфекция), были полу- чены из МОНИКИ им. М. Ф. Владимирского и Клинико-диагностического центра НИИВС им. И.И. Мечникова. В качестве положительного контрольного образца в иммунохимических реакциях использовали ранее полученный рекомбинантный полипептид ORF2 ВГЕ 1 генотипа [1], в качестве отрицательного — β-галактозидазу E.coli, выделенную из клеток штамма E.coli PLT90, трансформированных векторной плазмидой pEL5a без вставки вирусоспецифической ДНК. IgG к ВГЕ в образцах сы- вороток крови выявляли с помощью иммуноферментной тест-системы «ДС-ИФА- АНТИ-HЕV-G» (НПО «Диагностические системы»). Серологические маркеры ин- фицирования вирусами гепатитов А, В, С и возбудителями инфекционной патологии печени иной этиологии определяли с помощью коммерческих иммуноферментных тест-систем «ДС-ИФА-АНТИ-HAV-G-РЕКОМБ», «ДС-ИФА-HBsAg-подтвержда- ющий тест», «ДС-ИФА-ВИЧ-АГ/АТ Скрин» (НПО «Диагностические системы», Россия), «Вектогеп В-HBs-антиген-2», «ГепаБест анти-HBc-IgG», «Бест анти-ВГС- авто», «Бест анти-ВГС-подтверждающий тест», «Бест анти-ВГС-подтверждающий тест», «ВектоЦМВ-IgG-авидность», «ВектоВЭБ-EA-IgG», «ВектоВЭБ-NA-IgG» (ЗАО «Вектор-Бест», Россия), «БЛОТ ВИЧ Ѕ+0» (ЗАО БТК «Биосервис», Россия). Вестерн-блоттинг и твердофазный непрямой иммуноферментный анализ про- водили с помощью ранее описанных методик [1]. Р Е З У Л ЬТАТ Ы И О Б С У Ж Д Е Н И Е Предварительно проведенный биоинформационный анализ полипептидной последовательности диагностически значимого С-концевого участка белка ORF2 (406-660 а.о.) ВГЕ 3 генотипа показал довольно высокую степень гомологии поли- пептидных фрагментов разных изолятов вируса. Ранее был клонирован фрагмент генома ВГЕ 3 генотипа, кодирующий N-концевой участок белка ORF2 размером 72 а.о. (MRPRAVLLLFFVLLPMLPAPPAGQPSGRRRGRRSGGWGSGFWGNRVNSQP FALPYIHPWNPFAANVISQSGA), где в качестве источника вирусоспецифической РНК использовали биоматериал от свиней хозяйств Белгородской обл. [2]. Кроме того, при генотипировании изолятов ВГЕ, выделенных от свиней из Белгородской области, ранее была определена последовательность размером 100 а.о. (Access numbers Genbank MG053288, MG053289, MG053290): PVNSYTNTPYTGALGLLDFA LELEFRNLTPGNTNTRVSRYTSTARHRLRRGADGTAELTTTAATRFMKDLHFTG TNGVGEVGRGIALTLFNLADTLLGG. В результате проведенного анализа из базы данных нуклеотидных последовательностей NCBI были выбраны наиболее близкие по структуре в приведенных выше участках генома 12 изолятов ВГЕ 3 генотипа, и проведено множественное сравнение кодируемых ими аминокислотных последо- вательностей белка ORF2. Из них для участка 405-660 а.о. наиболее гомологичной оказалась последовательность HM055578 (Венгрия), которую использовали в качес- тве консенсуса. Дополнительный сравнительный анализ аминокислотных последо- вательностей показал высокую степень ее сходства с 102 имеющимися в базах дан- ных белковыми последовательностями: для 7 из них совпадение составило 100 %, для 42 — 99 %, для 36 — 98 %, для 17 — 97 %. В частности, было показано пол- ное совпадение консенсусной последовательности выбранного участка белка ORF2 HM055578 (Венгрия) с последовательностями EU723513.1 (Испания), KJ873911.1 (Германия), KT591532.1 (Франция), FJ653660.1 (Таиланд), LC055973.1 (Япония, Токио), AB850879.1 (Япония). Для выбранного фрагмента ORF2 была рассчитана соответствующая ему нук- леотидная последовательность, оптимизированная для экспрессии в бактериальной системе E.coli. Фрагмент гена orf2 с дополнительными фланкирующими сайтами рес- триктазы BamHI, синтез которого был выполнен компанией «Евроген», вставляли в плазмиду pEL5a по соответствующему сайту рестрикции. После лигирования, транс- формации компетентных клеток E.coli PLT90, селекции на устойчивость к ампицил- лину получали отдельные колонии бактерий, из которых выделяли плазмидную ДНК на колонках «Евроген» и проверяли наличие вставки в нужной ориентации с помо- щью рестрикционного анализа с последующим подтверждающим секвенированием.
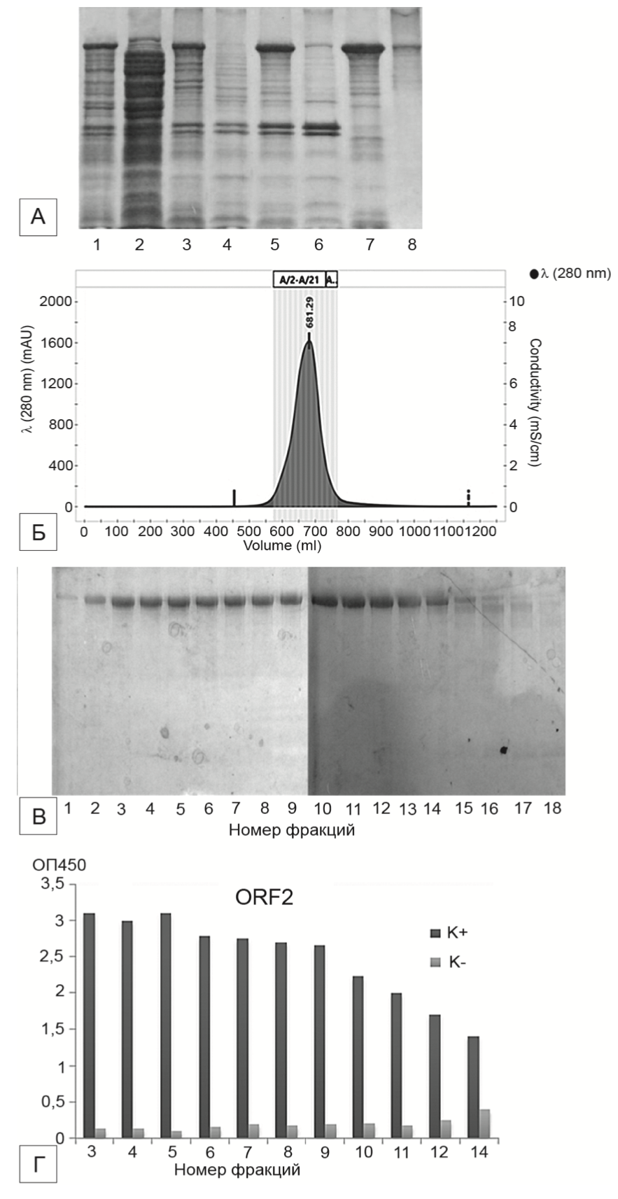
Рисунок.
Выделение и очистка белка ORF2 ВГЕ 3 генотипа: электро- форез в 10% SDS-полиакриламидном геле по стадиям вы- деления белка ORF2 из биомассы E.coli (1 — биомасса; 2, 4, 6 — супернатанты после последовательных отмывок; 3, 5, 7 — осадки фракции телец включений после последова- тельных отмывок; 8 — белок ORF2 ВГЕ 1 генотипа [1]) (А); хроматограмма очистки белка OPF2 ВГЕ 3 генотипа мето- дом гель-фильтрации (Б); результаты тестирования фракций белка ORF2 после хроматографической очистки методом электрофореза (В) и методом ИФА (Г), К+ сыворотки крови больных ГЕ, К — сыворотки крови здоровых доноров
С целью выявления потенциально идентичных линейных эпитопов был проведен анализ гомологий коротких пептидов между белком ORF2 ВГЕ 3 ге- нотипа и белками семейства герпесвирусов человека 1-8 ти- пов. Для этой цели в доступных базах данных полипептидных последовательностей был про- веден поиск соответствующих мотивов с их последующим мно- жественным сравнением. Как ранее в случае с белком ORF2 1 генотипа [1], при анализе экс- прессируемого фрагмента ORF2 3 генотипа было подтверждено отсутствие заметной гомологии с белками цитомегаловируса (ЦМВ), вируса Эпштейн-Барр (ЭБВ) и других герпесвирусов. Клоны штаммов-продуцен- тов рекомбинантного белка ORF2 ВГЕ 3 генотипа, полученные после трансформации компетен- тных клеток рекомбинантными плазмидами, отбирали, анали- зируя белковые профили лиза- тов их культур методами элект- рофореза и иммуноблоттинга с сыворотками крови больных ГЕ, содержащими специфические IgG. Степень очистки рекомби- нантного антигена на отдельных стадиях процесса выделения телец включений из лизата кле- ток культуры рекомбинантного штамма E.coli контролировали с помощью электрофореза в 10 % SDS-полиакриламидном геле. Электрофоретический анализ фракций белка после хроматог- рафической очистки подтвердил отделение рекомбинантного по- липептида от основной массы примесных белков. Белковые фракции тестировали также ме- тодом ИФА в реакциях с пулом образцов сывороток крови, со- держащих IgG к ВГЕ, и с пулом отрицательных сывороток (рис.). Фракции, содержащие наиболь- шее количество целевого белка и наименьшее — примесей, а также показавшие наилучшую реактивность в ИФА с по- ложительными сыворотками и минимальные неспецифические взаимодействия — с отрицательными, объединяли, полученный препарат белка дополнительно исследо- вали методом электрофореза. Молекулярная масса полученного рекомбинантного белка, определенная по результатам электрофоретического профиля лизатов штам- ма-продуцента и препаратов выделяемого из них целевого продукта, соответствова- ла расчетной величине (145 кДа). Продуктивность полученного рекомбинантного штамма составила не менее 3 мг рекомбинантного белка на 1 г биомассы. Степень очистки белка по результатам анализа данных электрофореза с помощью прибора GelDocTMEZImager (BioRad, США) составила 100 %. Для оценки антигенной специфичности полученного рекомбинантного белка были сформированы контрольные панели образцов сывороток крови, протестиро- ванных с помощью коммерческих тест-систем на содержание серологических мар- керов инфицирования вирусами гепатитов А, В, С, Е, ВЭБ, ЦМВ, ВИЧ-1, ВИЧ-2. В качестве антигена сравнения использовали ранее полученный рекомбинантный по- липептид ORF2 ВГЕ 1 генотипа [1]. Средние значения оптической плотности (ОП) в обследованных методом ИФА группах образцов при использовании в качестве анти- гена рекомбинантных белков ORF2 ВГЕ 1 и 3 генотипа представлены в табл. При взаимодействии с полученным белком ORF2 3 генотипа все 50 образцов (100%) от больных ГЕ и реконвалесцентов были позитивными с ОП от 0,254 до 1,897 о.е./мл. Все образцы, положительно прореагировавшие с рекомбинантным антигеном ORF2 3 генотипа, были выявлены как содержащие специфические IgG в реакциях с ранее полученным рекомбинантным антигеном ORF2 1 генотипа, наблюдаемое при этом несколько сниженное значение ОПсред можно объяснить использованием се- рологического материала из региона с преимущественным распространением вируса 3 генотипа (Республика Беларусь). Результаты тестирования образцов контрольных групп (здоровые доноры, пациенты с вирусными гепатитами А, В и С, ВИЧ-инфи- цированные лица, больные инфекционным мононуклеозом, цитомегаловирусной инфекцией) показали отсутствие позитивных реакций с полученными рекомбинан- тными белками, что позволяет сделать заключение о их высокой антигенной специ- фичности. При использовании в качестве антигена препарата β-галактозидазы, вы- деленной из биомассы клеток штамма E.coli PLT90, трансформированных плазмидой pEL5a без вставки вирусоспецифической ДНК, положительных реакций с образцами сывороток опытной и контрольных групп не выявлено. Сравнительный анализ результатов ИФА, полученных с использованием набора сравнения «ДС-ИФА-АНТИ-HEV-G», показал полное совпадение: среди обследо- ванных больных ГЕ и реконвалесцентов не выявлено ложноотрицательных образ- цов, среди обследованных здо- ровых доноров и контрольных групп — ложноположительных образцов. Относительно бо- лее низкое значение ОПсред. (0,832±0,09) при исследовании положительных проб в рефе- ренс-наборе можно объяснить отсутствием в составе его антигенной основы белков ВГЕ 3 генотипа [14] и использованием клинических образцов из региона (Республика Беларусь) с преимущественным распро- странением ВГЕ 3 генотипа. Сложность выделения про- тяженных фрагментов геном- ной РНК из вирусосодержащего клинического материала объясняет выбор рядом авторов стратегия получения рекомбинантных антигенов с использованием теоретически рассчитанных синтетических аналогов фрагментов ви- русного генома, кодирующих иммунодоминантные участки диагностически значимых антигенов ВГЕ [14]. Данный подход был успешно реализован и в нашем исследовании. На основании анализа научной литературы и результатов проведенного биоинформа- ционного исследования была поставлена и решена цель получения рекомбинантного антигена, содержащего фрагмент с 406 по 660 а.о. капсидного белка ORF2 ВГЕ 3 гено- типа. Принимая во внимание наличие этапов денатурации в применяемой методике очистки белка из нерастворимых телец включений, можно утверждать, что в его соста- ве присутствуют преимущественно линейные эпитопы. Полученные нами результаты по анализу антигенной реактивности рекомбинантных белков ORF2 ВГЕ 1 и 3 гено- типов, а также многолетний успешный опыт применения рекомбинантных антигенов для диагностики ГЕ согласуются с данными исследователей, показавших существен- ный вклад линейных эпитопов в организацию антигенной структуры капсидного бел- ка ВГЕ. Результаты экспериментов по исследованию взаимодействия рекомбинантных антигенов ВГЕ 1 и 3 генотипов с гомологичными и гетерологичными специфическими антителами показали, что эпитопы С-концевого иммунодоминантного домена отве- чают за генотип-специфичную иммунореактивность антигена ORF2 [12]. С другой стороны, в экспериментах по подробному картированию эпитопов в составе С-конце- вого участка ORF2 показано наличие двух линейных В-клеточных эпитопов в области 411-415 а.о. и 427-430 а.о., общих для штаммов ВГЕ различных генотипов, хозяевами которых являются птицы, свиньи или человек [15]. Полученный в настоящей рабо- те рекомбинантный белок обладает антигенной специфичностью ВГЕ 3 генотипа — источника антропозооноза, что обеспечивает возможность применения не только в медицинской практике, но также в ветеринарии и, с большой вероятностью, для изу- чения циркуляции вируса среди широкого спектра его природных резервуаров. В научной литературе имеются сообщения о перекрестной иммунореактивнос- ти при выявлении антител к ВГЕ и некоторым герпесвирусам (ВЭБ, ЦМВ), ослож- няющей интерпретацию результатов серодиагностики ГЕ [8]. Отсутствие гомологий у полученного нами белка и белков герпесвирусов свидетельствует об отсутствии идентичных эпитопов в их составе. Методом ИФА показано отсутствие кросс-реак- тивности полученного рекомбинантного полипептида с образцами, содержащими серологические маркеры инфицирования вирусами гепатитов А, В, С и возбудите- лями инфекционной патологии печени другой этиологии. Для более глубокого изучения антигенных свойств полученного белка планиру- ется проведение исследований на расширенных выборках специфических и конт- рольных образцов сывороток крови людей и животных.
About the authors
G. I. Alatortseva
Mechnikov Research Institute of Vaccines and Sera
Author for correspondence.
Email: fake@neicon.ru
Moscow Russian Federation
A. V. Sidorov
Mechnikov Research Institute of Vaccines and Sera
Email: fake@neicon.ru
Moscow Russian Federation
L. N. Nesterenko
Mechnikov Research Institute of Vaccines and Sera
Email: fake@neicon.ru
Moscow Russian Federation
L. N. Luhverchik
Mechnikov Research Institute of Vaccines and Sera
Email: fake@neicon.ru
Moscow Russian Federation
V. V. Dotsenko
Mechnikov Research Institute of Vaccines and Sera
Email: fake@neicon.ru
Moscow Russian Federation
I. I. Amiantova
Mechnikov Research Institute of Vaccines and Sera
Email: fake@neicon.ru
Moscow Russian Federation
M. V. Zhukina
Mechnikov Research Institute of Vaccines and Sera
Email: fake@neicon.ru
Moscow Russian Federation
V. Yu. Kabargina
Mechnikov Research Institute of Vaccines and Sera
Email: fake@neicon.ru
Moscow Russian Federation
A. V. Milovanova
Mechnikov Research Institute of Vaccines and Sera
Email: fake@neicon.ru
Moscow Russian Federation
D. S. Vorobev
Mechnikov Research Institute of Vaccines and Sera
Email: fake@neicon.ru
Moscow Russian Federation
Yu. I. Ammur
Mechnikov Research Institute of Vaccines and Sera
Email: fake@neicon.ru
Moscow Russian Federation
M. I. Mikhailov
Mechnikov Research Institute of Vaccines and Sera,Russian Medical Academy of Postgraduate
Education
Email: fake@neicon.ru
Moscow Russian Federation
K. K. Kyuregyan
Mechnikov Research Institute of Vaccines and Sera,Russian Medical Academy of Postgraduate
Education
Email: fake@neicon.ru
Moscow Russian Federation
E. Yu. Malinnikova
Mechnikov Research Institute of Vaccines and Sera,Russian Medical Academy of Postgraduate
Education
Email: fake@neicon.ru
Moscow Russian Federation
S. V. Zhavoronok
Belarusian State Medical University
Email: fake@neicon.ru
Minsk Belarus
V. M. Blinov
Mechnikov Research Institute of Vaccines and Sera
Email: fake@neicon.ru
Moscow Russian Federation
V. V. Zverev
Mechnikov Research Institute of Vaccines and Sera,Sechenov First Moscow State Medical University
Email: fake@neicon.ru
Moscow Russian Federation
References
- Алаторцева Г.И., Сидоров А.В., Нестеренко Л.Н., Лухверчик Л.Н., Доценко В.В., Амиантова И.И., Кабаргина В.Ю., Милованова А.В., Воробьев Д.С., Аммур Ю.И., Блинов В.М., Нурматов А.З., Нурматов З.Ш., Байызбекова Д.А., Касымов О.Т., Кюрегян К.К., Михайлов М.И., Жаворонок С.В., Зверев В.В. Получение рекомбинантного аналога капсидного белка вируса гепатита Е первого генотипа: клонирование, экспрессия, очистка, оценка антигенных свойств. Журн. микробиол. 2017, 6: 72-80.
- Алаторцева Г.И., Сидоров А.В., Нестеренко Л.Н., Лухверчик Л.Н., Милованова А.В., Аммур Ю.И., Михайлов М.И., Кюрегян К.К., Жаворонок С.В., Зверев В.В. Получение рекомбинантного белка ORF3 вируса гепатита Е 3 генотипа и оценка его антигенных свойств. Журн. микробиол. 2018, 5:46-53.
- Блинов В.М., Гейслер В., Краснов Г.С., Шаргунов А.В., Шурдов М.А., Зверев В.В. Клеточные аналоги вирусных белков. Журн. микробиол. 2014, 2:101-113.
- Гловер Д. Новое в клонировании ДНК. Методы. М, 1989.
- Маниатис Т., Фрич Э., Сэмбрук Дж. Методы генетической инженерии. Молекулярное клонирование. М., Мир, 1984.
- Behloul N., Wen J., Dai X. et al. Antigenic composition and immunoreactivity differences between HEV recombinant capsid proteins generated from different genotypes. Infect. Genet. Evol. 2015, 34: 211-20.
- Drobeniuc J., Meng J., Reuter G. et al. Serological assays specific to immunoglobulin M antibodies against hepatitis E virus: pangenotypic evaluation of performances. Clin. Infect. Dis. 2010, 51(3): e24-e27.
- Hyams C., Mabayoje D.A., Copping R. et al. Serological cross reactivity to CMV and EBV causes problems in the diagnosis of acute hepatitis E virus infection. J. Med. Virol. 2014, 86(3): 478-483.
- Koonin E.V., Gorbalenya A.E., Purdy M.A. et al. Computer-assisted assignment of functional domains in the nonstructural polyprotein of hepatitis E virus: delineation of an additional group of positive-strand RNA plant and animal viruses. Proc. Natl. Acad. Sci. USA. 1992, 89(17):8259-8263.
- Li W., Zhang J., He Z.Q. et al. Mutational analysis of essential interactions involved in the assembly of hepatitis E virus capsid. J. Biol. Chem. 2005, 280(5): 3400-3406.
- Mast E.E., Alter M.J., Holland P.V. et al. Evaluation of assays for antibody to hepatitis E virus by a serum panel. Hepatitis E Virus Antibody Serum Panel Evaluation Group. Hepatology. 1998, 27(3): 857-861.
- Osterman A., Vizoso Pinto M.G., Haase R. et al. Systematic screening for novel, serologically reactive Hepatitis E Virus epitopes. Virology Journal. 2012, 9: 28-32.
- Reza Taherkhani, Manoochehr Makvandi, Fatemeh Farshadpour. Development of enzyme-linked immunosorbent assays using 2 truncated ORF2 proteins for detection of IgG antibodies against Hepatitis E Virus. Ann. Lab. Med. 2014, 34(2): 118-126.
- Ulanova T.I, Obriadina AP, Talekar G. et al. A new artificial antigen of the hepatitis E virus. J. Immunoas say Immunochem. 2009, 30(1): 18-39.
- Xinjie Wang, Qin Zhao, Lu Dang et al. Characterization of Two Novel Linear B-Cell Epitopes in the Capsid Protein of Avian Hepatitis E Virus (HEV) That Are Common to Avian, Swine, and Human HEVs. J. Virol. 2015, 89(10): 5491-501.
Supplementary files




