Cell and molecular level of strategy of COVID-19 to induce immunodeficiency. Possible therapeutic solutions
- Authors: Bavykin A.S.1
-
Affiliations:
- Medical Institute, Tambov State University
- Issue: Vol 98, No 4 (2021)
- Pages: 450-467
- Section: REVIEWS
- URL: https://microbiol.crie.ru/jour/article/view/1092
- DOI: https://doi.org/10.36233/0372-9311-119
- ID: 1092
Cite item
Full Text
Abstract
The review considers the nature of clinical and pathological disorders caused by highly pathogenic coronaviruses in the human body, analyzes the causes of systemic damage to various organs and tissues, the strategy of virus reproduction and the associated syndrome of cytokine reactivity with the development of specific immunodeficiency at the molecular level. The most developed approaches to the targeted therapy of cytokine reactivity syndrome and SARS including elements of theranostics — monitoring of molecular targets for targeted therapy — are described. An example of an innovative bioengineering technology associated with the reprogramming of cells of the primary "echelon of defense" with the ability to endow them with highly specific skills of directed destruction of cells infected with a virus is given.
Keywords
Full Text
Введение
Проникновение вируса → первичный контакт → презентация антигена → гуморальный ответ → своевременный вторичный ответ → эффекторные Т-клетки и специфичные антитела В-лимфоцитов — это идеальная последовательность событий развития инфекции, которая, к сожалению, далеко не всегда реализуется иммунитетом пациента на практике.
Промежуток между срабатыванием первичного «эшелона обороны» и формированием иммунокомпетентных клеточных клонов насчитывает многие дни, за которые вирус успевает преодолеть первую линию защиты и распространиться по организму. Для многих пациентов с COVID-19 (4% летальности в среднем по Европе) подобный сценарий развития событий оказывается фатальным [1]. Какие этапы генерализации инфекции являются наиболее критичными, как «укрепить оборону» и на какие молекулярные мишени следует обратить внимание, чтобы подобрать лечение, — вот проблемы, рассматриваемые в представленном обзоре.
В обзоре упор делается на детализацию молекулярных механизмов цитокинового шторма с участием интерферонового каскада (IFN-каскада) и ряда других сигнальных путей, включая MAP-киназный путь и NF-κB-зависимые реакции.
Задача обзора также состоит в том, чтобы разобраться в причинах снижения сопротивляемости организма к вирусу, в том, какие этапы являются наиболее критичными, и почему в ряде случаев иммунная система вдруг начинает «работать против себя».
Собственно, подобное поведение иммунитета представляется краеугольным камнем в выборе стратегий лечения. Они рассматриваются в обзоре именно с точки зрения выявления наиболее критичных мишеней, которые, с одной стороны, могут оказываться главными «виновниками», а с другой — возможно, служат объектами для терапевтического воздействия.
В статье также затронута несколько гипотетическая для респираторных инфекций тема клеточного перепрограммирования, которая в применении к лечению COVID-19 носит, скорее, теоретическое обоснование, однако с заделом на внедрение инновационных подходов, которые при текущей пандемии становятся весьма популярными.
Обзор литературы
Для того чтобы разобраться в том, что происходит на уровне молекулярных механизмов, и в причинах осложнений, обратимся к более ранним исследованиям, посвящённым «знакомствам» человечества с высокопатогенными коронавирусными инфекциями.
Коронавирусные инфекции уже давно путешествуют в человеческой популяции. Первые описания случаев инфекции относят к 1960-м гг. С тех пор, до момента первой вспышки в 2003 г. в Китае, были описаны 4 представителя семейства Coronaviridae (HCoV-229E, HCoV-OC43, HCoVNL63 и HCoV-HKU), которые в основном поражают верхние дыхательные пути и, в большей степени, составляют пул так называемых детских инфекций без особых ассоциаций с атипичной пневмонией. Эти вирусы широко распространены по всему миру, включая Россию, и составляют, по разным оценкам, от 2 до 10% ежесезонных острых респираторных вирусных инфекций [2–5].
До вспышки в 2003 г. коронавирусы не доставляли большого беспокойства эпидемиологам и клиническим вирусологам в мире. Однако SARS (Severe acute respiratory syndrome), следующий за ним MERS (Middle East respiratory syndrome) и текущая пандемия SARS-CoV-2, характеризующиеся поражением нижних дыхательных путей, заставили мировую медицинскую общественность говорить о серьёзных и трудно поддающихся решению клинических проблемах — атипичной пневмонии и цитокиновом шторме.
Атипичная пневмония — не новая, но не подробно изученная проблема, особенно с точки зрения маршрутизации большого количества пациентов с гриппоподобными симптомами. Собственно, с осложнений гриппа и появились первые упоминания о молекулярном механизме атипичной пневмонии в середине 1980-х гг. [6]. Особенно актуальным это явление стало в периоды эпидемий «птичьего» и «свиного» гриппа в 2003–2013 гг. Масштабы эпидемии свиного гриппа оказались столь удручающими (по разным оценкам, погибло свыше полумиллиона человек по всему миру), что ВОЗ была в шаге от объявления пандемии [7].
Цитокиновый шторм тоже был явлением небезызвестным и распространённым среди пациентов с ревматоидным артритом [8] или красной волчанкой [9]. Собственно, активно применяемый на сегодняшний день тоцилизумаб (ингибитор интерлейкина-6 — ИЛ-6) как раз пришёл из области лечения пациентов с агрессивными формами этих аутоиммунных заболеваний [10].
С целью понимания природы осложнений, включая цитокиновый шторм, необходимо детально ознакомиться с системными морфологическими изменениями, которые происходят при инфицировании высокопатогенными коронавирусами.
Клинико-патологические изменения при вирусной атипичной пневмонии в лёгких
Среди аутопсийных образцов, взятых от погибших пациентов в разгар эпидемии 2003 г., наблюдалось немало случаев с выраженным диффузным альвеолярным поражением (рис. 1), которое характеризовалось обширным отёком, коллапсом альвеол, образованием гиалиновой мембраны и наличием фиброзной ткани в альвеолярных пространствах [11–15]. Интенсивность фиброзных разрастаний коррелировала с продолжительностью тяжёлого течения SARS [15]. В тяжёлых случаях также наблюдалась массированная инфильтрация лёгочной ткани моноцитами — макрофагами и лимфоцитами. Почти в половине случаев в инфильтрате было выявлено наличие вирусной РНК (методами in situ гибридизации и ПЦР в реальном времени).

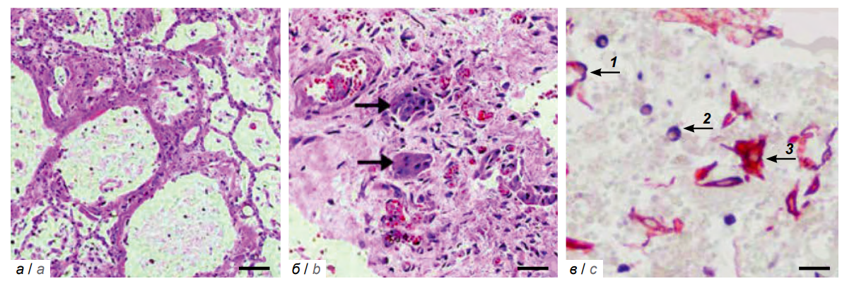
Рис. 1. SARS-индуцированные патологические изменения в аутопсийных образцах лёгочной ткани (рисунок заимствован из публикации J. Gu и соавт. [15] в соответствии с разрешениями издателя). а — SARS вызвал серьёзное повреждение, образование гиалиновой мембраны, отёк, экссудацию фибрина и некоторые воспалительные клетки (окрашивание гематоксилином и эозином). Образец от 50-летнего пациента с атипичной пневмонией, который умер через 33 сут после начала заболевания; б — многоядерные клетки (стрелки) в лёгких пациента с SARS (окрашивание гематоксилином и эозином). Образец от 51-летнего пациента SARS, умершего на 45-е сутки; в — ткань лёгкого от 58-летнего пациента после 58 сут болезни. Двойное мечение, объединяющее гибридизацию in situ вирусной геномной последовательности SARS и иммуногистохимию с антителами к цитокератину (AE1/AE3); видны два коричневато-красных (цитокератин) и фиолетово-синих сигнала вирусного генома в тех же клетках, идентифицирующие инфицированные клетки как пневмоциты (стрелка 1). Стрелка 2 указывает на клетку, инфицированную вирусом SARS (положительная окраска, пурпурный цвет, метод in situ гибридизации). Стрелка 3 указывает на пневмоцит, отрицательный при гибридизации in situ (только цитокератин-положительный, коричневато-красный сигнал), который не инфицирован вирусом SARS. Fig. 1. SARS-induced pathology in autopsy lung samples (photo obtained from publication of J. Gu et al. [15] in accordance with publisher’s permission guidelines).
а — SARS caused severe damage, hyaline membrane formation, edema, fibrin exudation, and some inflammatory cells (hematoxylin and eosin stain). Sample from a 50-year-old male SARS patient who died 33 days after disease onset;
b — multinucleated cells (arrows) in the lungs of a SARS patient (hematoxylin and eosin stain). Sample from a 51-year-old male SARS patient who died on day 45;
с — sample from a 58-year-old male patient with SARS who died 58 days after disease onset. Double labeling combining in situ hybridization (ISH) of SARS viral genomic sequence and IHC with antibodies to cytokeratin (AE1/AE3) showing both brownish red (cytokeratin) and purplish blue signals for viral genome in the same cells, identifying the infected cells as pneumocytes (arrow 1). Arrow 2 points to an ISH-positive cell (purplish blue signal), representing an inflammatory cell that is infected by SARS virus. Arrow 3 points to an in situ hybridization-negative pneumocyte (cytokeratin-positive, brownish red signal only) that is not infected by SARS virus.
Стоит отметить, что более тяжёлые случаи протекания болезни характеризовались существенно пониженным уровнем CD4/CD8-лимфоцитов в сыворотке крови пациентов [15].
Промежуточный вывод. Вирус угнетает специфический иммунный ответ, что подтверждает его особую опасность для людей с исходно пониженным иммунитетом, включая стариков, онкологических больных и лиц, страдающих хроническими заболеваниями.
Патологические изменения в других органах и системах при атипичной пневмонии
В отличие от своих малопатогенных «собратьев», высокопатогенные коронавирусы, по сути, оказывают системное негативное влияние на весь организм. Почему так происходит — на этот вопрос во многом отвечает механизм проникновения вируса в клетку.
Механизм проникновения вируса в клетку
Наиболее критичным этапом для проникновения вируса в клетку служит механизм взаимодействия оболочечного S-белка с рецепторно-фуриновым комплексом на поверхности клетки-мишени. Вирус распознает и специфически связывается с рецептором к ангиотензину 2 (ACE2), однако одного этого контакта недостаточно для проникновения вируса в клетку. В дополнение к распознаванию вирусу требуется пройти своеобразную систему дополнительного контроля.
Этот контроль осуществляет особый класс трансмембранных фуриноподобных сериновых протеаз, в частности TMPRSS2. Она осуществляет дополнительное распознавание S2-фрагмента шипика оболочки вируса, что даёт «добро» на прохождение вируса внутрь (подробности см. на рис. 2).

Рис. 2. Осуществление пропускной функции TMPRSS2 на поверхности клеточной мембраны альвеолоцита. При инфицировании происходит как бы двойной досмотр. После взаимодействия с рецептором ACE2 для пропуска внутрь (слияние мембран) дополнительно требуется участие фуриноподобной протеазы TMPRSS2, которая «откусывает» фрагмент шипика, делая его контакт с ACE2 активным, и пропускает вирус внутрь клетки. Fig. 2. Throughput function of TMPRSS2 on the alveocyte membrane surface.
The initial step of infection resembles a double control at rte border pass. When the virus in order to pass inside cell (membrane fusion) enters the booth (ACE2) and shows its passport (S-protein), a visa is required (presence of PRRARSV-motif for spike-protein).
If the «visa» is ok, then the «border guard» (furin-like protease TMPRSS2) cuts of its fragment (proteolytic cleavage), resulting in S-protein activation and allows virus to go through.
Тропность вирусных антигенов к различным органам и тканям
Учитывая широкую представленность рецептора к ACE2 в различных органах и тканях, было бы не совсем точным рассматривать высокопатогенную коронавирусную инфекцию человека исключительно с точки зрения поражения лёгочной системы.
По результатам исследования экспрессии ACE2 у пациентов с COVID-19 была составлена карта распределения данного рецептора по организму (рис. 3) [16].

Рис. 3. Клинико-патологическое картирование ACE2 по организму (рисунок заимствован из публикации N. Vabret и соавт. [16] и адаптирован в соответствии с разрешением издателя). ИЛ — интерлейкины; СРБ — C-реактивный белок; НЛИ — нейтрофильно-лимфоцитарная инфильтрация. Fig. 3. Clinical and pathological mapping of ACE-2 throughout the body (figure is obtained from the article of N. Vabret et al. [16] in accordance with publisher’s permission guidelines). URL: https://www.cell.com/immunity/pdf/S1074-7613(20)30183-7.pdf The grey → yellow → red colors demonstrate the degrees of ACE2 expression in the body organs.
Клинико-морфологические характеристики поражённых органов при SARS и MERS
Данные анализа тесно коррелируют с клиническими исследованиями репликации SARS-CoV-1 в тканях и органах пациентов:
- респираторный тракт — диффузное поражение альвеол различной степени остроты.
Экссудативные признаки, включая отёк и формирование гиалиновых мембран, фиброз, макрофагальную или смешанную клеточную инфильтрацию, многоядерные гигантские клетки, атипичные реактивные пневмоциты и повреждение сосудов [17–21]; - кишечник — поражение лимфоидной ткани слизистой оболочки [17][22];
- почки — острый некроз канальцев [23][24];
- ЦНС — отёк и дегенерация нейронов [17][19];
- скелетная мускулатура — некроз и атрофия мышечных волокон [17][22][24];
- надпочечники — некроз и лимфоцитарно-моноцитарная инфильтрация [17][19];
- щитовидная железа — разрушение фолликулярных клеток, апоптоз в единичных клетках [25];
- яички — апоптоз и разрушение сперматоцитов [26][27];
- сердце — отёк и атрофия волокон миокарда [17][19].
Сходные морфопатологические изменения были описаны в отношении пациентов, инфицированных MERS во время вспышек в 2012–2015 гг. В результате исследования аутопсийного материала были выявлены очаговые поражения лёгочной ткани, включая плевральные, перикардиальные и абдоминальные выпоты, параллельно с генерализованным застоем и отёком лёгких [27]. Кроме того, были отмечены некроз эпителиальных клеток, слущивание бронхиолярного эпителия, альвеолярный отёк и утолщение альвеолярных перегородок. Иммуногистохимическое исследование показало, что MERSCoV инфицировал преимущественно дыхательные пути и альвеолярные эпителиальные клетки, а также эндотелиальные клетки и макрофаги. Тяжесть поражения лёгких коррелировала с обширной инфильтрацией нейтрофилами и макрофагами [28].
Промежуточные выводы:
- при SARS имеет место неоднородное поражение различных органов и тканей с преимущественным размножением вируса в иммунных клетках и эпителии;
- неоднородность инфицирования, возможно, зависит от различной представленности комбинаций ACE2 с сериновыми протеазами на поверхности разных типов тканей;
- репликация вируса в клетках-мишенях нередко приводит к их апоптозу.
Взаимосвязь вирус-индуцированного гуморального и клеточного иммунитета с клинико-патологическими изменениями при COVID-19
История взаимодействия вирусов с человеком уходит глубоко в века, поэтому в процессе эволюции человека его клетками был выработан целый набор механизмов борьбы с инфекциями и ответа на разные их типы не только на основании распознавания структуры поверхностных антигенов, но и путём взаимодействия с определённым типом генетического материала вирусов.
К этим молекулярным механизмам относится семейство Toll-подобных рецепторов (Тoll-like receptors — TLRs). Они могут не только отличить ДНК (TLR9) от РНК, но и распознать тип РНК вируса [29]: с одной цепью РНК (TLR7, TLR8) или с двумя (TLR3). Эти рецепторы также известны под общим названием «рецепторы распознавания паттерна/образа».
При «встрече» с коронавирусами (здесь и далее речь пойдёт о SARS-CoV-1, -2 и MERS) рецепторы TLR активируют IFN-каскады, которые, в свою очередь, запускают первый эшелон защиты на уровне гуморального ответа с последующим подключением механизмов специфичного иммунитета. Общая иллюстрация реакции иммунитета на COVID-19 показана на рис. 4. Усиление экспрессии ИЛ-6 и ФНО-α привлечёнными в очаг воспалительными моноцитами и SARS-инфицированными клетками в совокупности подавляет активность NK-клеток. ИЛ-6, -1β и IFN-I/III из инфицированного лёгочного эпителия могут вызывать воспалительные ответы резидентных макрофагов, воспалительных моноцитов, а также гранулоцитов и лимфоцитов из местного кровотока. ИЛ-6 и ФНО-α вместе с прибывшими моноцитами могут управлять несколькими каскадами гипервоспаления. Воспалительные макрофаги, происходящие из моноцитов, могут по-разному усиливать дисфункциональные реакции. Системный реактивный цитокиновый синдром может вызвать нейтрофильный нетоз (апоптоз нейтрофилов) и микротромбоз, что серьёзно обостряет течение COVID-19. Другие миелоидные клетки, такие как дендритные клетки, предположительно, осуществляют IFN-зависимую роль в вирусном контроле. Хемокиновый лиганд CXCL9 из моноцитов привлекает из крови NK-клетки. Предварительные данные свидетельствуют о том, что противовирусная функция NK-клеток может регулироваться перекрёстными взаимодейст–виями с SARS-CoV-2-инфицированными клетками и воспалительными моноцитами.

Рис. 4. Местная реакция в лёгких на COVID-19 (рисунок заимствован из работы N. Vabret и соавт. [16] и адаптирован в соответствии с разрешением издателя). IFN — интерферон; IgG — иммуноглобулины типа G; ФНО-α — фактор некроза опухоли-α; CD94/NKG2A — лектиновые рецепторы типа C, экспрессируются преимущественно натуральными киллерами (NK-клетки); CXCL9/10/11 — семейство хемокиновых рецепторов, обладающих общим C-X-C мотивом; CCL2, 7, 12 — семейства хемокиновых лигандов; TLR/RLR — Toll- и RIG-подобные рецепторы; iNOS – индуцируемая NO-синтаза; Arg1 — аргиназа 1-го типа; ГМ-КСФ — гранулоцитарно-макрофагальный колониестимулирующий фактор; АМ — альтернативно активированные макрофаги; ИММ — воспалительные клетки макрофагально-моноцитарного ряда; ИМ — воспалительные моноциты; pDC – плазмоцитоидные дендритные клетки; Arg1 — аргиназа 1; iNOS — индуцированная синтаза оксида азота. Пунктирными линиями обозначены пути, требующие подтверждения. Fig. 4. Local immune response in COVID-19 (figure is obtained from the article of N. Vabret et al. [16] in accordance with publisher’s permission guidelines). URL: https://www.cell.com/immunity/pdf/S1074-7613(20)30183-7.pdf
Вслед за активацией IFN-каскада инфицированными клетками осуществляется выброс провоспалительных медиаторов (включая ИЛ-6, -8 и ФНО-α), а также хемокинов, которые привлекают в очаг поражения нейтрофилы и макрофаги, повышают уровень С-реактивного белка. У пациентов с более тяжёлыми формами протекания болезни наблюдается повышенная концентрация хемокинов класса CXCL 9–11 и CCL 2, 7, 12, что ассоциируется с избыточным воспалением, повышенным пирогенным эффектом, отёком и рядом других проявлений, которые в совокупности составляют основу цитокинового шторма.
IFN-I может усиливать экспрессию ACE2, что делает клетки более восприимчивыми к вирусу, который в них реплицируется с последующей реинфекцией [30].
В 1-е сутки очаг воспаления и вирусного поражения наполняется несколькими клеточными популяциями, включая антигенпрезентирующие дендритные клетки, NK-клетки, вируснейтрализующие макрофаги и нейтрофилы.
Секреция ФНО-α потенциирует активацию NF-κB-сигналинга, играющего ключевую роль в поддержании пролифераций действующих клеточных популяций, присутствующих в очаге (механизм действия NF-κB показан на рис. 5).

Рис. 5. Схема роли NF-κB в воспалительном процессе. В условиях инфицированности SARS-CoV-2 клеток гуморального иммунитета гиперактивированный сигналинг «IKK — NF-κB» превращается в своеобразный воспалительный perpetuum mobile. Поступающие сигналы от ИЛ-1R, TLR и ФНО-рецепторов при посредничестве адапторных молекул Myd88/IRAK4 активируют киназный IKBα-комплекс (состоящий из α-, β-, γ-субъединиц IKK), что приводит к диссоциации ингибирующей субъединицы IKBα (с её последующей деградацией) и димера p50/p65 (NF-κB), который мигрирует в ядро и выполняет роль транскрипционного фактора для интенсивного синтеза цитокинов, хемокинов и адгезивных молекул. Затем хемокины «приглашают в гости» дополнительные клетки нейтрофильного ряда из кровоснабжающего бассейна, и всё начинается заново. В результате в поражённых тканях и плазме пациента накапливается чудовищная концентрация воспалительных медиаторов, которые вызывают структурные повреждения лёгких и других органов, а также разрушение самих инфицированных нейтрофилов (нетоз), что, в частности, в местном кровотоке нередко приводит к тромбоагрегации и осложнениям в виде инсультов. «Масла в огонь» (дополнительная активация IKBα) также «подливают» сами вирусы, сборка белков которых на эндоплазматическом ретикулуме вызывает эндоплазматический стресс (ЭРС). Цитокиновый шторм усугубляется секрецией драйверных цитокинов воспаления ИЛ-18 и -1β посредством включения инфламмасомы (NLRP3) — «моторчика», отвечающего за процессинг предшественников данных молекул при помощи каспазы-1; NLRP3 в настоящее время рассматривается в качестве терапевтической мишени. Красные и зелёные стрелки обозначают агонистическое и антагонистическое влияние NF-κB на соответствующие популяции клеток [31] Fig. 5. Illustration of NF-κB role in inflammation.
During SARS-CoV-2 infection in humoral immunity cells, hyper activated IKK — NF-κB signaling turns to act as perpetuum mobile. Upcoming signals from IL-1R, TLR и TNF-receptors in assistance with adaptor kinases Myd88/IRAK4 activate IKBα-protein complex (consisting of 3 subunits IKKα, β, γ), that results in dissociation of inhibitory IKBα (with its subsequent degradation) and dimer proteins p50/p65 (NF-κB), which are transported to nucleus in order to act as transcription factor for intensive production of cytokines, chemokines, and adhesive molecules. Chemokines in turn attract additional cells of neutrophil subpopulations from local vessels and all process goes in cycle. Finally affected tissue accumulate tremendous concentration of inflammation mediators that in addition to structural lesions in lungs and other organs cause death of infected neutrophils (netosis) in blood vessels, followed platelet aggregation and frequent insults as complications. “Fuel to the flame” adds IKBα, activated by viral protein assembly on endoplasmic reticulum (ER) and ER stress. Severity of cytokine release syndrome is enhanced by secretion of inflammatory driver cytokines IL-18 and IL-1β, through the activation of inflammasome (NLRP3), a kind of “motor” responsible for processing of the precursors of these molecules using caspase-1 (casp-1); NLRP3 is currently being considered as a therapeutic target. Red and green arrows indicate agonistic and antagonistic effects of NF-κB on the corresponding cell populations [31].
Стоит отметить ряд работ, в которых было показано, что вирусные белки активно интерферируют со многими вышеописанными процессами: подавляют синтез IFN-I (исследования [32–35] выявили супрессию секреции IFN белкамиSARS-CoV-1 in vitro и in vivo); в то время как при сложных случаях высокопатогенных коронавирусных инфекций уровень IFN в крови был значительно ниже по сравнению с «лёгкими» больными [36], подробности указаны на рис. 6.

Рис. 6. Сопоставление патогенеза при лёгком и тяжёлом течении коронавирусных инфекций на модели альвеолярного микроокружения (рисунок заимствован из публикации G. Lebeau и соавт. [36] и адаптирован в соответствии с правилами издателя). При осложнённом варианте наблюдаются выраженная лимфопения, значительное подавление секреции IFN, поражение альвеолярного эпителия, усиленная секреция цитокинов макрофагами, инфильтрация нейтрофилами лёгочной ткани, сопровождающаяся их апоптозом (нетоз) в сосудах и тромбоцитарной агрегацией. При этом избыточные количества ИЛ-6 и ИЛ-8 усиливают стимуляцию экспрессии NF-κB. Fig. 6. Comparison of pathogenesis in mild and severe SARS infection on the model of alveolar microenvironment (figure is obtained from the article of G. Lebeau et al. [36] in accordance with publisher’s permission rules). URL: https://www.ncbi.nlm.nih.gov/pmc/articles/PMC7460647
Промежуточный вывод. С одной стороны, белки коронавируса ослабляют противовирусный иммунитет, с другой — пролонгируют присутствие хемокинсекретирующих клеток гуморального иммунитета в очаге поражения. Подобные звенья становятся ключевыми этапами формирования цитокинового шторма.
Гиперфункция иммунных клеток
Очередным событием, приводящим к драматическим нарушениям гомеостаза при коронавирусных инфекциях, становится насыщение зон вирусной инвазии избыточными популяциями клеток гуморального иммунитета.
В большей степени это касается моноцитарно-макрофагальной популяции, а также Т-клеток. Иммунная система буквально «сходит с ума», и вместо того, чтобы захватывать и разрушать вирус, клетки принимаются синтезировать медиаторы воспаления, направленные исключительно на увеличение присутствия определённых типов клеток (макрофагов и нейтрофилов, см. рис. 4) в очаге воспаления. В результате, с одной стороны, усугубляются повреждения органной структуры (альвеолярные стенки с замещением соединительной тканью и аналогичные процессы фиброза в почках и сердце). С другой стороны, активно размножающиеся клетки служат удачными компартаментами для дополнительной репликации в них вируса.
На моделях in vivo были получены убедительные доказательства того смещения экспрессионного паттерна макрофагов на уровне подавления белками коронавируса IFN-каскада с последующей инактивацией противовирусного митоген-ассоциированного протеинкиназного сигналинга и компенсаторным усилением ФНО-α → NF-κВ → CCL2 и IL-6, IL-8 секреции. Хемокиновые лиганды (CCL2) привлекают в очаг дополнительные провоспалительные макрофаги [37, 38]. В результате избыточной лизосомальной активности наблюдаются выраженные повреждения бронхоальвеолярного дерева с развитием классических форм острого респираторного дистресс-синдрома, что нередко приводит к летальным исходам.
Индукция апоптоза в инфицированных клетках
Индукцией апоптоза объясняется в равной степени как повреждающий эффект коронавирусов в отношении эпителиоцитов (например, в лёгких и почках), так и рестрикция специфического иммунитета, когда у тяжёлых пациентов значительно уменьшается содержание эффекторных Т-клеток.
Дело в том, что в любой клетке имеется баланс между положительными и негативными регуляторами жизненного цикла. К числу антагонистов относятся несколько семейств белков, вовлечённых в апоптоз. Эти белки взаимосвязаны посредническими сигнальными молекулами и работают на нескольких уровнях клеточной организации, таких как индукция оксидативного стресса в митохондриях (семейство BCL2), регуляция жизненного цикла, фрагментация ДНК при участии каспаз. Каспазный каскад, в свою очередь, также регулируется ингибиторами апоптоза (cIAP-2, -3, Birc 5, 7, FLIP). Белки этого семейства блокируют апоптоз на уровне вступления клетки в G1-фазу деления [39].
На сегодняшний день остаётся неясным, по какому принципу происходит выбор вирусной апоптотической индукции той или иной популяции клеток, однако в крови пациентов, инфицированных SARS-CoV-2, уже на 1-е сутки от развития симптомов наблюдался повышенный уровень транскрипционного фактора FOXO3A [40], который известен как антагонист ингибитора апоптоза FLIP [41], блокирующий передачу нисходящих сигналов от активированного проапоптотического Fas-лиганда. Также на моделях in vitro была показана прямая зависимость между проапоптотической активацией каспаз-9, -3 и -8 и размножением SARS-CoV-2 в инфицированных клетках [6].
Рестрикция специфического противовирусного иммунитета
Помимо синдрома цитокиновой реактивности и острого респираторного дистресс-синдрома у пациентов с тяжёлыми формами коронавирусных инфекций наблюдаются выраженная лимфопения и негативный сдвиг в сторону снижения CD8- и CD4-популяций Т-клеток. Точный механизм остаётся пока на уровне предположений.
По одной версии, это вышеупомянутый NF-κB-индуцированный апоптоз [42]. По другой версии, лимфопения может быть вызвана формированием аномального фенотипа эффекторных субпопуляций Т-клеток. Так, в ходе изучения изменения фенотипического профиля Т-лимфоцитов в динамике от стадии первичных симптомов до стадии ухудшения разными группами исследователей отмечено, что наравне с негативным сдвигом CD8, CD137, OX40 и CD28+ нарастали субпопуляции, экспрессирующие ингибиторы контрольных точек, такие как TIM-3, PD-1+ и CTLA-4+ [43]. Т-клеточные ингибиторы контрольных точек негативно регулируют Т-клеточную пролиферацию и при взаимодействии с собственными лигандами могут вызывать гибель Т-хелперов.
Согласно многочисленным наблюдениям [36][43][44], иммунологическая картина при высокопатогенных коронавирусных инфекциях складывается таким образом, что у пациентов с лёгким течением или выздоравливающих уровень Т-клеток нормальный или слегка повышенный, в то время как у тяжёлых больных, главным образом получавших интенсивную терапию, содержание Т-клеток в крови значительно снижено. Одновременно их сниженное количество коррелирует с повышенными показателями ИЛ-6, -10 и ФНО-α.
Промежуточные выводы. Повреждающий эффект при остром респираторном дистресс-синдроме может быть вызван по крайней мере двумя отдельными или пересекающимися событиями:
а) формированием цитотоксических популяций макрофагов и Т-клеток;
б) COVID-19-индуцированным апоптозом эпителиоцитов. Это, возможно, объясняет причины септических поражений у тяжёлых «ковидных» пациентов.
Инновационные подходы для лечения высокопатогенных коронавирусных инфекций
Наравне с использованием классической медицины эпоха терапии СOVID-19 знаменуется небывало широким внедрением всевозможных высокотехнологичных разработок, включая биоинженерные препараты и вакцины, а также таргетную терапию. В этом смысле большой интерес могут представлять молекулярные «мишени», играющие ключевые роли в патогенных звеньях: их можно не только выявлять, но и целенаправленно блокировать.
На фоне поистине громадных человеческих потерь в мире от SARS-CoV-2 инфекции (на сегодняшний день свыше 3 млн летальных исходов)1 может создаться впечатление о беспомощности фармакологической системы. Однако стоит учитывать, что большинство инфицированных всё же выживают, причём у значительной части из них (25–50%) болезнь протекает легко или почти бессимптомно2.
Таким образом, без учёта каких-либо лекарственных средств, самым главным инструментом борьбы с вирусом является наш иммунитет. Поистине он готов на великие свершения, порой даже с перебором, о чём свидетельствует тот же цитокиновый шторм. Задача только в том, чтобы «снять ему с глаз повязку» и направить всю мощь иммунитета в нужное русло. Возможными оптимальными решениями (не исключая базовой противовирусной терапии) представляются тераностические подходы, при которых определяемые патогномоничные факторы одновременно являются объектами для терапии, а также программирование первичного иммунитета.
Тераностика цитокинового шторма
Ингибирование интерлейкина-6
Одной из первых подсказка пришла из таргетной терапии аутоимунных заболеваний, включая красную волчанку [45] и ревматоидный артрит [8], — типичных примеров, при которых организм «грызёт самого себя», где использовался ингибитор ИЛ-6 (рис. 7) — препарат тоцилизумаб.

Рис. 7. Блокировка сигналинга ИЛ-6. ИЛ-6 связывается и образует комплекс с рецептором ИЛ-6 и гликопротеином 130 (gp130), что приводит к гомодимеризации gp130 и последующей активации сигнальной системы. Тоцилизумаб нацелен как на растворимые, так и на мембранно-связанные рецепторы ИЛ-6, тем самым ингибируя связывание ИЛ-6 с обоими рецепторами и активируя JAK-STAT-MAP-киназный воспалительный каскад. JAK — Янус-активированная киназа; STAT — преобразователь сигналов и активатор транскрипции; MAPK — митогенактивируемые протеинкиназы. Fig. 7. Interleukin-6 (IL-6) pathway blocking. IL-6 binds and forms a complex with IL-6 receptor and glycoprotein 130 (gp130), that leads to homodimerization of gp130 and subsequent activation of the signaling system. Tocilizumab targets both soluble and membrane-bound IL-6 receptors, thereby inhibiting IL-6 binding to both receptors and activating the JAK-STAT-MAP-kinase inflammatory cascade. JAK — Janus-activated kinase; STAT — signal transducer and transcription activator; MAPK — mitogen-activated protein kinases.
Заранее сложно предсказать, на каком этапе возникает необходимость терапии тоцилизумабом, поэтому в настоящее время активно предлагаются схемы мониторинга маркёров цитокинового шторма в плазме крови [46].
В США Управление по санитарному надзору за качеством пищевых продуктов и медикаментов объявило о выдаче разрешения на экстренное использование иммуноанализа ИЛ-6 для пациентов с COVID-193. Анализ используется для определения тяжёлой воспалительной реакции у пациентов с подтверждённым заболеванием COVID-19, чтобы помочь в определении риска интубации с использованием искусственной вентиляции лёгких в сочетании с клиническими данными и результатами других лабораторных исследований.
В клиническом руководстве, опубликованном 04.03.2020 Национальной комиссией здравоохранения Китая по диагностике и лечению пневмонии COVID-19 (7-е издание), ИЛ-6 рассматривается в качестве объекта анализов4.
Итальянское общество инфекционных и тропических болезней в Руководстве по уходу за людьми с заболеванием COVID-19, издание 2.05, упоминает, что ИЛ-6 является центральным медиатором токсичности синдрома высвобождения цитокинов, а определение уровня ИЛ-6 может помочь выявить наиболее серьёзных пациентов с COVID-19.
Ингибирование фактора некроза опухоли-α
Подобно тоцилизумабу, ингибиторы ФНО-α применяются для лечения аутоиммунных патологий, включая болезнь Крона и ревматоидный артрит, в частности, на основе мониторинга уровня ФНО в плазме крови пациентов [47].
Из отчёта врачей Глобального ревматологического альянса [48], посвящённого лечению пациентов с ревматическими заболеваниями, госпитализированных с COVID-19, следует, что применение анти-ФНО-ингибиторов может коррелировать с уменьшением вероятности госпитализации.
В настоящее время в разных точках мира инициировано несколько клинических испытаний по применению анти-ФНО-блокаторов.
Так, учёные из Оксфорда планируют провести исследование у пациентов, находящихся в стационаре, чтобы оценить, снижает ли лечение адалимумабом прогрессирование до тяжёлой или критической фазы заболевания или смерти у пациентов с COVID-19 [49].
В то же время группа клиницистов из Национального Института Здоровья (США) проводит набор во II фазу клинических испытаний другого анти-ФНО-препарата — инфликсимаба6. Согласно их гипотезе, раннее начало терапии ингибиторами ФНО-α у пациентов с тяжёлыми инфекциями COVID-19 предотвратит дальнейшее клиническое ухудшение и раннюю смертность, а также снизит потребность в расширенной кардиореспираторной поддержке.
Ингибирование JAK
Белки JAK участвуют в передаче сигналов JAK/STAT, связанных с большим числом цитокиновых рецепторов. В частности, провоспалительный путь с участием ИЛ-6/STAT-3 активируется преимущественно при злокачественных опухолях и различных инфекциях [50][51]. Ингибиторы JAK хорошо известны и одобрены во многих странах при лечении ревматических заболеваний, миелофиброза и язвенного колита [52].
Эти препараты вполне могут быть рассмотрены для терапии COVID-19, поскольку механизм их действия вполне вписывается в патогенез синдрома цитокиновой реактивности. Например, использование барицитиниба и упадацитиниба при ревматоидном артрите существенно снижало уровень ИЛ-6 и нагрузку на сердце [53]. Также имеются данные по корреляции активности JAK/STAT-сигналинга с уровнем ИЛ-6 в плазме [54].
Подавление NF-κB-связанных сигнальных путей
После разработки тоцилизумаба изыскание таргетных средств для купирования NF-κB-сигналинга в роли ключевого драйвера воспаления становится чрезвычайно популярным в современной фармакологии синдромов COVID-19.
Выделяют несколько уровней ингибирования:
- блокировка деградации IKBα-комплекса (ингибиторы тирозинкиназы Брутона);
- ингибирование внутриядерного транспорта и ДНК-связывающего процесса (рецепторы, активируемые пероксисомными пролифераторами);
- использование протеосомных антагонистов [55].
Отдельно стоит выделить инфламмасому NLRP3, которая считается достаточно универсальным патогенетическим биомаркёром для многих заболеваний (диабет, болезнь Альцгеймера, метаболический синдром и атеросклероз), где тканедеструктивное гипервоспаление играет не последнюю роль [56].
С учётом рассмотренного выше механизма работы NLRP3 (рис. 5) её блокирование рассматривается весьма перспективным методом подавления синдрома цитокиновой реактивности при COVID-19, а ряд таргетных средств уже проходят II фазу клинических испытаний. При этом во многих случаях мониторинг эффективности ингибирования осуществляется путём оценки уровня ИЛ-1β в плазме [57]. Из общеизвестных средств можно отметить аспирин (тормозящий фосфорилирование IKBα) и глюкортикоиды (снижают специфичность контакта NF-κB с целевыми генами) [58].
Тераностика фиброза лёгких
Фиброз — это процесс зарастания соединительной тканью очагов поражения, в результате чего снижается растяжимость лёгких и вслед за тем быстро прогрессирует сердечно-лёгочная недостаточность, которая и приводит к столь печальным исходам острого респираторного дистресс-синдрома.
Ранее было показано, что во главе иерархии процессов, усугубляющих фиброз лёгочной ткани и вызванных гибелью инфицированных альвеолярных клеток, стоит рецептор эпидермального фактора роста (EGFR) [59]. Моделирование фиброза на мышиных моделях [60] подтвердило, что при разрушении клеток активизируется EGFR-опосредованное взаимодействие «ранозаживляющих генов» (рис. 8).

Рис. 8. Схема функционирования представителей семейства эпидермальных факторов роста при фиброзе лёгких и способ терапевтического ингибирования EGFR (рисунок заимствован из публикации [60] и адаптирован в соответствии с правилами издателя). а — при повреждении активизируются заживляющие белки, EGFR-лиганды: эпидермальный фактор роста (EGF), амфирегулин (AREG), гепаринсвязывающий эпидермальный фактор роста (HB-EGF), бетацеллюлин (BTC), эпирегулин (EREG), эпителиальный митоген (EPGN) и трансформирующий фактор роста (TGF-α). Их действия подобны группе быстрого реагирования: «заделать, заштопать», инактивировать очаг повреждения; б — инфицирование вирусом повреждает клетки лёгких, что приводит к выбросу EGFR-лигандов, избыточному синтезу EGFR. Тирозинкиназные ингибиторы (ТКИ) экспрессии EGFR нормализуют работу «генов заживления» и блокируют фиброз лёгких. Fig. 8. Function of EGF family in pulmonary fibrosis and therapeutic inhibition of EGFR expression (the figure is obtained from publication of T. Venkataraman et al. [60] in accordance with the publisher’s rules). URL: https://www.ncbi.nlm.nih.gov/pmc/articles/PMC5507769/
Методы регуляции фиброза разобраны пока только на мышиных моделях [60], где блокирование достигалось путём использования афатиниба, который относится к классу ТКИ. Препараты этого класса в первую очередь регулярно проходят скрининг на предмет эффективности при COVID-19 [61].
Белок EGFR может оказаться перспективным объектом для экспресс-тестирования, поскольку, с одной стороны, он является известным биомаркёром избыточной пролиферации клеток (при онкологии), а метод его иммуногистохимического окрашивания сертифицирован, стандартизирован и внесён в клинические рекомендации по назначению ТКИ7, которые нередко служат способом альтернативной терапии для осложнённых вирусных инфекций.
Терапевтическое перепрограммирование иммунитета. CAR-NK-технология
Говоря о перепрограммировании иммунных клеток, в данном случае NK-клеток, подразумевается наделение их несвойственными им функциями специфического распознавания, чтобы поддержать первый эшелон противовирусной обороны и выиграть время до формирования специфичного иммунитета.
Процесс формирования специфичного иммунитета при SARS-CoV-2 порой занимает более 2–3 нед, а за это время уже могут развиться осложнения. Тем более, что данный процесс может пролонгироваться, поскольку COVID-19 нередко подавляет Т-клеточный иммунитет.
В то же время процент NK исходно невысок, и вирусные антигены на поверхности заражённых клеток они точно распознавать не умеют. Задача перепрограммирования как раз в том и состоит, чтобы научить NK узнавать конкретно те самые клетки, в которые проникает и размножается вирус.
Толчком к программированию послужила технология создания CAR-терапии при лейкозах [62], когда цитотоксические Т-лимфоциты обучают распознавать «вражеский» антиген, минуя стадии презентации его B-клетками и наработки специфичного клона. Примером подобного подхода могут служить клинические испытания8, проводимые Чунцинским медицинским центром, в рамках которого модифицированные NKG2D-ACE-CAR-NK-клетки нацеливаются сразу на две мишени: NKG2DL (биомаркёр стресса клетки или её инфицирования; в норме практически не выражен) и S-белок оболочки SARS-CoV-2. Таким образом, «под прицел» попадают преимущественно все инфицированные коронавирусом клетки организма.
Дополнительно пациенту предполагается введение коктейля из его собственных перепрограммированных NK-клеток, экспрессирующих ИЛ-15, с антителом, подавляющим синтез ГМ-КСФ. ИЛ-15 является известным индуктором NK и цитотоксических Т-лимфоцитов при антивирусном ответе [63], он будет поддерживать рост и пролиферацию NK на постоянном уровне. ГМ-КСФ — один из ключевых цитокинов воспаления, «виновных» в развитии опасного для жизни респираторного дистресссиндрома, требующего применения интенсивной терапии.
Стоит отметить, что в отношении ГМ-КСФ, приводящего к чрезмерному воспалению в лёгких, компания «Kinevant Sciences» готовит испытания нейтрализующего антитела — гимсилумаба — в качестве вспомогательной терапии при лечении коронавирусной инфекции. В настоящее время проводится апробация NKG2D-ACE-CAR NK/NK-IL15, NK-GM-CFF-терапии в рамках II фазы клинических испытаний9.
Промежуточные выводы. Общий смысл вышеописанных манипуляций:
а) максимально быстро обучить клетки иммунитета с минимальными затратами внутренних резервов организма;
б) Т-клетки и сами обучаются, но делают это медленно, а времени «в обрез»;
в) NK срабатывают, но их мало, они быстро «выдыхаются», часто бывают неспецифичными.
Прикладная наука дополняет их работу всеми «знаниями» в области иммунологии, клеточной и молекулярной биологии, превращая NK в своеобразные клеточные биороботы.
Заключение
В обзоре рассмотрены прежде всего патогенетические аспекты характера взаимодействия высокопатогенных коронавирусов с иммунной системой и способы её коррекции10.
«Логика» вируса такова, чтобы перестроить функционирование иммунной системы под собственные «интересы».
Схема перестройки выглядит следующим образом:
1) на первое место выходит COVID-индуцированный иммунодефицит;
2) цитокиновый шторм также играет в интересах вируса, поскольку он фактически сводится к пролиферации клеток, в которых сам же и размножается, без особого ущерба для себя, вследствие подавления функции противовирусных эффекторных клеток.
Иммунокорригирующая терапевтическая стратегия, по мнению автора, может быть составлена следующим образом:
а) таргетное блокирование цитокинового шторма;
б) мониторинг ключевых молекулярных «игроков» патогенных каскадов для оценки эффективности терапии и её своевременного назначения;
в) укрепление первого эшелона обороны на уровне пролонгирования функции гуморального иммунитета с изысканием возможности его перепрограммирования.
Стоит отметить, что SARS-CoV-2 настолько перетряхнул сознание врачей о респираторных инфекциях, что мы сейчас буквально онлайн наблюдаем беспрецедентную интенсификацию взаимодействия классической медицины с высокотехнологичными подходами на уровне таргетной терапии и биоинженерии. Не факт, что все они придутся к месту, поскольку в ряде случае это весьма затратные и трудоёмкие технологии (например, подготовка реконвалесцентной плазмы или генетическое перепрограммирование иммунных клеток), однако совершенно очевидно, что подобное сотрудничество медико-биологических дисциплин приносит не только научную, но и социальную пользу в плане доступности высокотехнологичных разработок для более широких слоёв населения.
1. Данные научного центра Джона Хопкинса. URL: https://coronavirus.jhu.edu/map.html
2. Данные центра контроля болезней США, CDC. URL: https://www.cdc.gov/coronavirus/2019-ncov/hcp/planning-scenarios.html
3. Access IL-6 – Beckman Coulter, Inc. // Fact sheet for healthcare providers. October 1, 2020. URL: https://www.fda.gov/media/142598/download
4. Chinese clinical guidance for COVID-19 pneumonia diagnosis and treatment. 7th edition. URL: http://kjfy.meetingchina.org/msite/news/show/cn/3337.html
5. Guidelines for the treatment of people with COVI-19 disease. Edition 2.0, 13 March 2020. URL: https://www.acep.org/globalassets/images/italianguidelines-for-covid-19-google-translate.pdf.pdf
6. ClinicalTrials.gov. NCT04425538. A Phase 2 Trial of Infliximab in Coronavirus Disease 2019 (COVID-19). URL: https://clinicaltrials.gov/ct2/show/NCT04425538
7. COVID-19 Treatment Guidelines. URL: https://www.covid19treatmentguidelines.nih.gov
8. A Phase I/II study of universal off-the-shelf NKG2D-ACE2 CAR-NK cells for therapy of COVID-19. ClinicalTrials.gov. NCT04324996. URL: https://clinicaltrials.gov/ct2/show/NCT04324996
9. A study to assess the efficacy and safety of gimsilumab in subjects with lung injury or acute respiratory distress syndrome secondary to COVID-19 (BREATHE). ClinicalTrials.gov. NCT04351243. URL: https://clinicaltrials.gov/ct2/show/NCT04351243
10. В обзоре сознательно опущены обязательные стандартные антивирусные методы лечения и способы поддерживающей терапии.
About the authors
A. S. Bavykin
Medical Institute, Tambov State University
Author for correspondence.
Email: bavykin.andrey2013@gmail.com
ORCID iD: 0000-0002-8513-597X
Andrey S. Bavykin — Cand. Sci. (Med.), Associate Professor, Department of medical biology with a course of infectious diseases.
Tambov
Russian FederationReferences
- Karadag E. Increase in COVID-19 cases and case-fatality and case-recovery rates in Europe: A cross-temporal meta-analysis. J. Med. Virol. 2020, 92(9): 1511–7. https://doi.org/10.1002/jmv.26035
- Zhao Y., Lu R., Shen J., Xie Z., Liu G., Tan W. Comparison of viral and epidemiological profiles of hospitalized children with severe acute respiratory infection in Beijing and Shanghai, China. BMC Infect. Dis. 2019, 19(1): 729. https://doi.org/10.1186/s12879-019-4385-5
- Etemadi M.R., Jalilian F.A., Othman N., Lye M-S., Ansari S., Yubbu P., et al. Diversity of respiratory viruses detected among hospitalized children with acute lower respiratory tract infections at Hospital Serdang, Malaysia. J. Virol. Methods. 2019, 269: 1–6. https://doi.org/10.1016/j.jviromet.2019.03.013
- Chan C.Y., Low J.G., Wyone W., Oon L.L.E., Tan B.H. Survey of respiratory virus in patients hospitalised for acute exacerbations of heart failure — a prospective observational. Ann. Acad. Med. Singap. 2018, 47(11): 445–50.
- Лободанов С.А., Киселев И.С., Аммур Ю.И., Горбаленя А.Е., Зверев В.В., Файзулоев Е.Б. и др. Исследование видовой структуры риновирусов и коронавирусов, циркулировавших в Московском регионе в период с 2007 по 2012 г. Вопросы вирусологии. 2015, 60(3): 31–6.
- Werner E. Smoke cloud pneumonia, a new atypical pneumonia in influenza diseases. Z. Gesamte Inn. Med. 1986, 41(7): 208–10.
- Dawood F.S, Iuliano A.D., Reed C., Meltzer M.I., Shay D.K., Cheng P., et al. Estimated global mortality associated with the first 12 months of 2009 pandemic influenza A H1N1 virus circulation: a modelling study. Lancet Infect. Dis. 2012, 12(9): 687–95. https://doi.org/10.1016/s1473-3099(12)70121-4
- Karponis D. Rheumatoid arthritis: the journey in pursuit of a cure. Rheumatol. Adv. Pract. 2017, 1(1): rkx008. https://doi.org/10.1093/rap/rkx008
- Okamoto H., Kobayashi A., Yamanaka H. Cytokines and chemokines in neuropsychiatric syndromes of systemic lupus erythematosus. J. Biomed. Biotechnol. 2010, 2010: 268436. https://doi.org/10.1155/2010/268436
- Biggioggero M., Crotti C., Becciolini A., Favalli E.G. Tocilizumab in the treatment of rheumatoid arthritis: an evidence-based review and patient selection. Drug Des. Devel. Ther. 2019, 13: 57–70. https://doi.org/10.2147/dddt.s150580
- Cheung O.Y., Chan J.W.M., Ng C.K., Koo C.K. The spectrum of pathological changes in severe acute respiratory syndrome (SARS). Histopathology. 2004, 45(2): 119–24. https://doi.org/10.1111/j.1365-2559.2004.01926.x
- Calabrese F., Pezzuto F., Fortarezza F., Hofman P., Kern I., Panizo A., et al. Pulmonary pathology and COVID-19: lessons from autopsy. The experience of European pulmonary pathologists. Virchows Arch. 2020, 477(3): 359–72. https://doi.org/10.1007/s00428-020-02886-6
- Franks T.J., Chong P.Y., Chui P., Galvin J.R., Lourens R.M., Reid A.H., et al. Lung pathology of severe acute respiratory syndrome (SARS): a study of 8 autopsy cases from Singapore. Hum. Pathol. 2003, 34(8): 743–8. https://doi.org/10.1016/s0046-8177(03)00367-8
- Hsiao C.H., Wu M.Z., Chen C.L., Hsueh P.R., Hsieh S.W., Yang P.C., et al. Evolution of pulmonary pathology in severe acute respiratory syndrome. J. Formos. Med. Assoc. 2005, 104(2): 75–81.
- Gu J., Korteweg C. Pathology and pathogenesis of severe acute respiratory syndrome. Am. J. Pathol. 2007, 170(4): 1136–47. https://doi.org/10.2353/ajpath.2007.061088
- Vabret N., Britton G.J., Gruber C., Hegde S., Kim J., Kuksin M., et al. Immunology of COVID-19: current state of the science. Immunity. 2020, 52(6): 910–41. https://doi.org/10.1016/j.immuni.2020.05.002
- Ding Y., Wang H., Shen H., Li Z., Geng J., Han H., et al. The clinical pathology of severe acute respiratory syndrome (SARS): a report from China. J. Pathol. 2003, 200(3): 282–9. https://doi.org/10.1002/path.1440
- Tse G.M.K., To K.F., Chan P.K.S., Lo A.W.I., Ng K.C., Wu A., et al. Pulmonary pathological features in coronavirus associated severe acute respiratory syndrome (SARS). J. Clin. Pathol. 2004, 57(3): 260–5. https://doi.org/10.1136/jcp.2003.013276
- Gu J., Gong E., Zhang B., Zheng J., Gao Z., Zhong Y., et al. Multiple organ infection and the pathogenesis of SARS. J. Exp. Med. 2005, 202(3): 415–24. https://doi.org/10.1084/jem.20050828
- Hwang D.M., Chamberlain D.W., Poutanen S.M., Low D.E., Asa S.L., Butany J. Pulmonary pathology of severe acute respiratory syndrome in Toronto. Mod. Pathol. 2005, 18(1): 1–10. https://doi.org/10.1038/modpathol.3800247
- Nicholls J.M., Poon L.L.M., Lee K.C., Ng W.F., Lai S.T., Leung C.Y., et al. Lung pathology of fatal severe acute respiratory syndrome. Lancet. 2003, 24, 361(9371): 1773–8. https://doi.org/10.1016/s0140-6736(03)13413-7
- Leung W.K., To K.F., Chan P.K.S., Chan H.L.Y., Wu A.K.L., Lee N., et al. Enteric involvement of severe acute respiratory syndrome-associated coronavirus infection. Gastroenterology. 2003, 125(4): 1011–7. https://doi.org/10.1016/s0016-5085(03)01215-0
- Chu K.H., Tsang W.K., Tang C.S., Lam M.F., Lai F.M., To K.F., et al. Acute renal impairment in coronavirus-associated severe acute respiratory syndrome. Kidney Int. 2005, 67(2): 698–705. https://doi.org/10.1111/j.1523-1755.2005.67130.x
- Wu V.C., Hsueh P.R., Lin W.C., Huang J.W., Tsai H.B., Chen Y.M., et al. Acute renal failure in SARS patients: more than rhabdomyolysis. Nephrol. Dial. Transplant. 2004, 19(12): 3180–2. https://doi.org/10.1093/ndt/gfh436
- Wei L., Sun S., Xu C.H., Zhang J., Xu Y., Zhu H., et al. Pathology of the thyroid in severe acute respiratory syndrome. Hum. Pathol. 2007, 38(1): 95–102. https://doi.org/10.1016/j.humpath.2006.06.011
- Nakajima N., Asahi-Ozaki Y., Nagata N., Sato Y., Dizon F., Paladin F.J., et al. SARS coronavirus-infected cells in lung detected by new in situ hybridization technique Jpn J. Infect. Dis. 2003, 56(3): 139–41.
- Farcas G.A., Poutanen S.M., Mazzulli T., Willey B.M., Butany J., Asa S.L., et al. Fatal severe acute respiratory syndrome is associated with multiorgan involvement by coronavirus. J. Infect. Dis. 2005, 191(2): 193–7. https://doi.org/10.1086/426870
- Channappanavar R., Perlman S. Pathogenic human coronavirus infections: causes and consequences of cytokine storm and immunopathology. Semin. Immunopathol. 2017, 39(5): 529–39. https://doi.org/10.1007/s00281-017-0629-x
- Sallusto F., Lanzavecchia A. The instructive role of dendritic cells on T-cell responses. Arthritis Res. 2002, 4(Suppl. 3): S127–32. https://doi.org/10.1186/ar567
- Ziegler C.G.K., Allon S.J., Nyquist S.K., Mbano I.M., Miao V.N., Tzouanas C.N., et al. SARS-CoV-2 receptor ACE2 is an interferon-stimulated gene in human airway epithelial cells and is detected in specific cell subsets across tissues. Cell. 2020, 181(5): 1016–1035.e19. https://doi.org/10.1016/j.cell.2020.04.035
- Hayden M.S., Ghosh S. NF-κB in immunobiology. Cell Res. 2011, 21(2): 223–44. https://doi.org/10.1038/cr.2011.13
- Cameron M.J., Kelvin A.A., Leon A.J., Cameron C.M., Ran L., Xu L., et al. Lack of innate interferon responses during SARS coronavirus infection in a vaccination and reinfection ferret model. PLoS One. 2012, 7(9): e45842. https://doi.org/10.1371/journal.pone.0045842
- Minakshi R., Padhan K., Rani M., Khan N., Ahmad F., Jameel S. The SARS Coronavirus 3a protein causes endoplasmic reticulum stress and induces ligand-independent downregulation of the type 1 interferon receptor. PLoS ONE. 2009, 4(12): e8342. https://doi.org/10.1371/journal.pone.0008342
- Zhang Y.Y., Li B.R., Ning B.T. The comparative immunological characteristics of SARS-CoV, MERS-CoV, and SARS-CoV-2 сoronavirus infections. Front. Immunol. 2020, 11: 2033. https://doi.org/10.3389/fimmu.2020.02033
- Wathelet M.G., Orr M., Frieman M.B., Baric R.S. Severe acute respiratory syndrome coronavirus evades antiviral signaling: role of nsp1 and rational design of an attenuated strain. J. Virol. 2007, 81(21): 11620–33. https://doi.org/10.1128/jvi.00702-07
- Lebeau G., Vagner D., Frumence E., Ah-Pine F., Guillot X., Nobecourt E., et al. Deciphering SARS-CoV-2 Virologic and Immunologic Features. Int. J. Mol. Sci. 2020, 21(16): 5932. https://doi.org/10.3390/ijms21165932
- Clay C., Donart N., Fomukong N., Knight J.B., Lei W., Price L., et al. Primary severe acute respiratory syndrome coronavirus infection limits replication but not lung inflammation upon homologous rechallenge. J. Virol. 2012, 86(8): 4234–44. https://doi.org/10.1128/jvi.06791-11
- Liu L., Wei Q., Lin Q., Fang J., Wang H., Kwok H., et al. Anti– spike IgG causes severe acute lung injury by skewing phage responses during acute SARS-CoV infection. JCI Insight. 2019, 4(4): e123158. https://doi.org/10.1172/jci.insight.123158
- Portt L., Norman G., Clapp C., Greenwood M., Greenwood M.T. Anti-apoptosis and cell survival: a review. Biochim. Biophys. Acta. 2011, 1813(1): 238–259. https://doi.org/10.1016/j.bbamcr.2010.10.010
- Marfe G., Tafani M., Fiorito F., Pagnini U., Iovane G., De Martino L. Involvement of FOXO transcription factors, TRAILFasL/Fas, and sirtuin proteins family in canine coronavirus type II-induced apoptosis. PLoS One. 2011, 6(11): e27313. https://doi.org/10.1371/journal.pone.0027313
- Fulda S. Targeting c-FLICE-like inhibitory protein (CFLAR) in cancer. Expert. Opin. Ther. Targets. 2013, 17(2): 195–201. https://doi.org/10.1517/14728222.2013.736499
- Ivanisenko N.V., Seyrek K., Kolchanov N.A., Ivanisenko V.A., Lavrik I.N. The role of death domain proteins in host response upon SARS-CoV-2 infection: modulation of programmed cell death and translational applications. Cell Death Discov. 2020, 6: 101. https://doi.org/10.1038/s41420-020-00331-w
- Chen Z., Wherry J.E. T cell responses in patients with COVID-19. Nat. Rev. Immunol. 2020, 20(9): 529–36. https://doi.org/10.1038/s41577-020-0402-6
- Lian L., Ling X., Chen L. T cell response in patients with COVID-19. Blood Science. 2020, 2(3): 76–8. https://doi.org/10.1097/BS9.0000000000000050
- Nikirenkov Y. Efficiency of tocilizumab therapy for an exacerbation of systemic lupus erythematosus: a review of literature. Acute Chronic. Dis. 2018, 2(1): 1000103. https://doi.org/10.14412/1996-7012-2017-3-85-90
- Hashizume M. Outlook of IL-6 signaling blockade for COVID-19 pneumonia. Inflamm. Regen. 2020, 40: 24. https://doi.org/10.1186/s41232-020-00134-7
- Steenholdt C. Personalized therapy with TNF-inhibitors in Crohn's disease: optimizing treatment outcomes by monitoring drug levels and anti-drug antibodies. Dan. Med. J. 2016, 63(8): B5270.
- Gianfrancesco M., Hyrich K.L. Characteristics associated with hospitalisation for COVID-19 in people with rheumatic disease: data from the COVID-19 Global Rheumatology Alliance physician-reported registry. Ann. Rheum. Dis. 2020, 79: 859–66. https://doi.org/10.1136/annrheumdis-2020-218713
- Mahase E. Covid-19: Anti-TNF drug adalimumab to be trialled for patients in the community. BMJ. 2020, 371: m3847. https://doi.org/10.1136/bmj.m3847
- Fielding C.A., McLoughlin R.M., McLeod L., Colmont C.S., Najdovska M., Grail D., et al. IL-6 regulates neutrophil trafficking during acute inflammation via STAT3. J. Immunol. 2008, 181(3): 2189–95. https://doi.org/10.4049/jimmunol.181.3.2189
- Velazquez-Salinas L., Verdugo-Rodriguez A., Rodriguez L.L., Borca M.V. The role of interleukin 6 during viral infections. Front Microbiol. 2019, 10: 1057. https://doi.org/10.1016/j.autrev.2020.102537
- Fragoulis G.E., McInnes I.B., Siebert S. JAK-inhibitors. New players in the field of immune-mediated diseases, beyond rheumatoid arthritis. Rheumatology (Oxford). 2019, 58(Suppl. 1): i43–i54. https://doi.org/10.1093/rheumatology/key276
- Kotyla P.J., Islam M.A., Engelmann M. Clinical Aspects of Janus Kinase (JAK) inhibitors in the cardiovascular system in patients with rheumatoid arthritis. Int. J. Mol. Sci. 2020, 21(19): 7390. https://doi.org/10.3390/ijms21197390
- Isomaki P., Junttila I., Vidqvist K.L., Korpela M., SilvennoinenO. The activity of JAK-STAT pathways in rheumatoid arthritis: constitutive activation of STAT3 correlates with interleukin 6 levels. Rheumatology (Oxford). 2015, 54(6): 1103–13. https://doi.org/10.1093/rheumatology/keu430
- Liu T., Zhang L., Joo D., Sun S.C. NF-κB signaling in inflammation. Sig. Transduct. Target. Ther. 2017, 2: 17023. https://doi.org/10.1038/sigtrans.2017.23
- Zahid A., Li B., Kombe A.J.K., Jin T., Tao J. Pharmacological Inhibitors of the NLRP3 Inflammasome. Front. Immunol. 2019, 10: 2538. https://doi.org/10.3389/fimmu.2019.02538
- Freeman T.L., Swartz T.H. Targeting the NLRP3 Inflammasome in Severe COVID-19. Front. Immunol. 2020, 11: 1518. https://doi.org/10.3389/fimmu.2020.01518
- Kircheis R., Haasbach E., Lueftenegger D., Heyken W.T., Ocker M., Planz O. NF-κB pathway as a potential target for treatment of critical stage COVID-19 patients. Front. Immunol. 2020, 11: 598444. https://doi.org/10.3389/fimmu.2020.598444
- Werner S., Grose R. Regulation of wound healing by growth factors and cytokines. Physiol. Rev. 2003, 83(3): 835–70. https://doi.org/10.1152/physrev.2003.83.3.835
- Venkataraman T., Frieman M.B. The role of epidermal growth factor receptor (EGFR) signaling in SARS coronavirus-induced pulmonary fibrosis. Antiviral. Res. 2017, 143: 142–50. https://doi.org/10.1016/j.antiviral.2017.03.022
- Weisberg E., Parent A., Yang P.L., Sattler M., Liu Q., Liu Q., et al. Repurposing of kinase inhibitors for treatment of COVID-19. Pharm. Res. 2020, 37(9): 167. https://doi.org/10.1007/s11095-020-02851-7
- Pehlivan K.C., Duncan B.B., Lee D.W. CAR-T cell therapy for acute lymphoblastic leukemia: transforming the treatment of relapsed and refractory. Disease. Curr. Hematol. Malig. Rep. 2018, 13(5): 396–406. https://doi.org/10.1007/s11899-018-0470-x
- Собко Е.А., Соловьева И.А., Демко И.В., Крапошина А.Ю., Гордеева Н.В., Чубарова С.В. и др. Интерлейкин 15 и его роль в иммунном воспалении. Бюллетень физиологии и патологии дыхания. 2015, (57): 113–9.
Supplementary files











